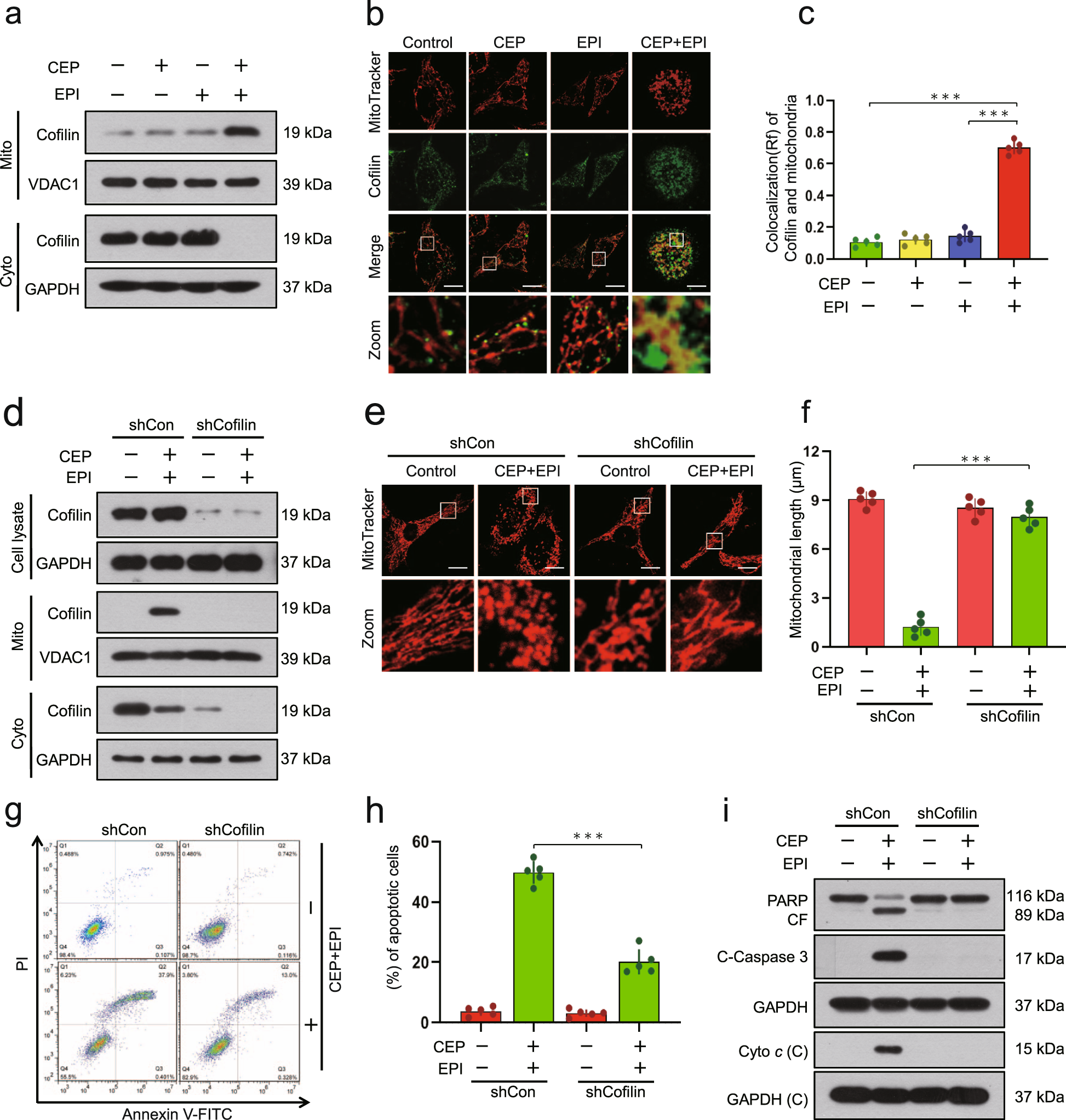
Fig. 5: Combination of cepharanthine/epirubicin causes translocation of cofilin to the mitochondria.

MDA-MB-231 cells were treated without or with cepharanthine or epirubicin alone or combination of cepharanthine/epirubicin for 48 h. a Cytosolic and mitochondrial fractions were prepared and subjected to Western blot using antibody against cofilin. GAPDH and VDAC1 were used as loading control. b Representative images of confocal microscopy which showed the colocalization of cofilin (green) and MitoTracker (red). Scale bars, 10 μm. c The Pearson’s correlation coefficient (R2) of cofilin and MitoTracker colocalization was from 50 cells of five independent experiments. For (d–i), MDA-MB-231 cells stably expressing Non-Target shRNA (shCon) or cofilin shRNA (shCofilin) were treated with or without combination of cepharanthine/epirubicin. d Whole cell lysates (Cell lysate), cytosolic (Cyto) and mitochondrial (Mito) fractions were prepared and subjected to Western blot by using antibody against cofilin. e Mitochondrial morphology was determined by MitoTracker Red CMXRos staining and confocal microscopy. Scale bars, 10 μm. f Mitochondrial length was measured with ImageJ software. 50 cells of 5 independent experiments. g, h Apoptosis was determined by Annexin V-FITC/PI staining and flow cytometry. i Western blot was performed to detect the expression of PARP, cleaved-PARP (CF), C-caspase 3 and cytochrome c. Data represented as mean ± SD (n = 5, ***P < 0.001, Student’s two-tailed unpaired t-tests).