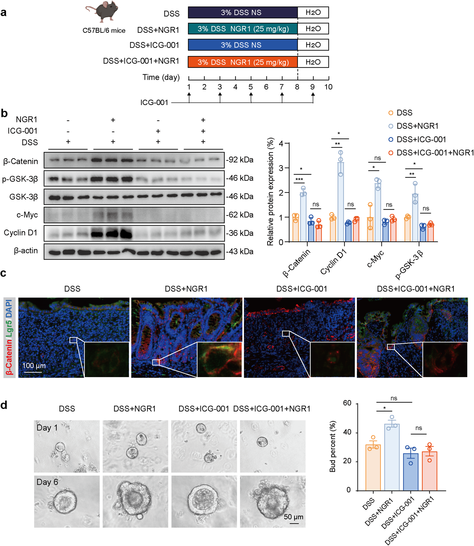
Fig. 6: ICG-001 abolishes the protective effect of NGR1 on DSS-induced colitis.

a The drawing chart presented the animal experimental procedure. b Representative protein expression levels of β-Catenin, p-GSK-3β, Cyclin D1, c-Myc and β-actin. Each bar represents the mean ± SD (n = 3 per group). c Representative Lgr5 (green) and β-Catenin (red) immunofluorescence-stained sections of colonic tissue. d Representative budding diagram of intestinal crypt Organoid, and the number of Organoid buds were counted and presented. Each bar represents the mean ± SD (n = 3 per group). *P < 0.05, **P < 0.01, ***P < 0.001 vs. DSS group.