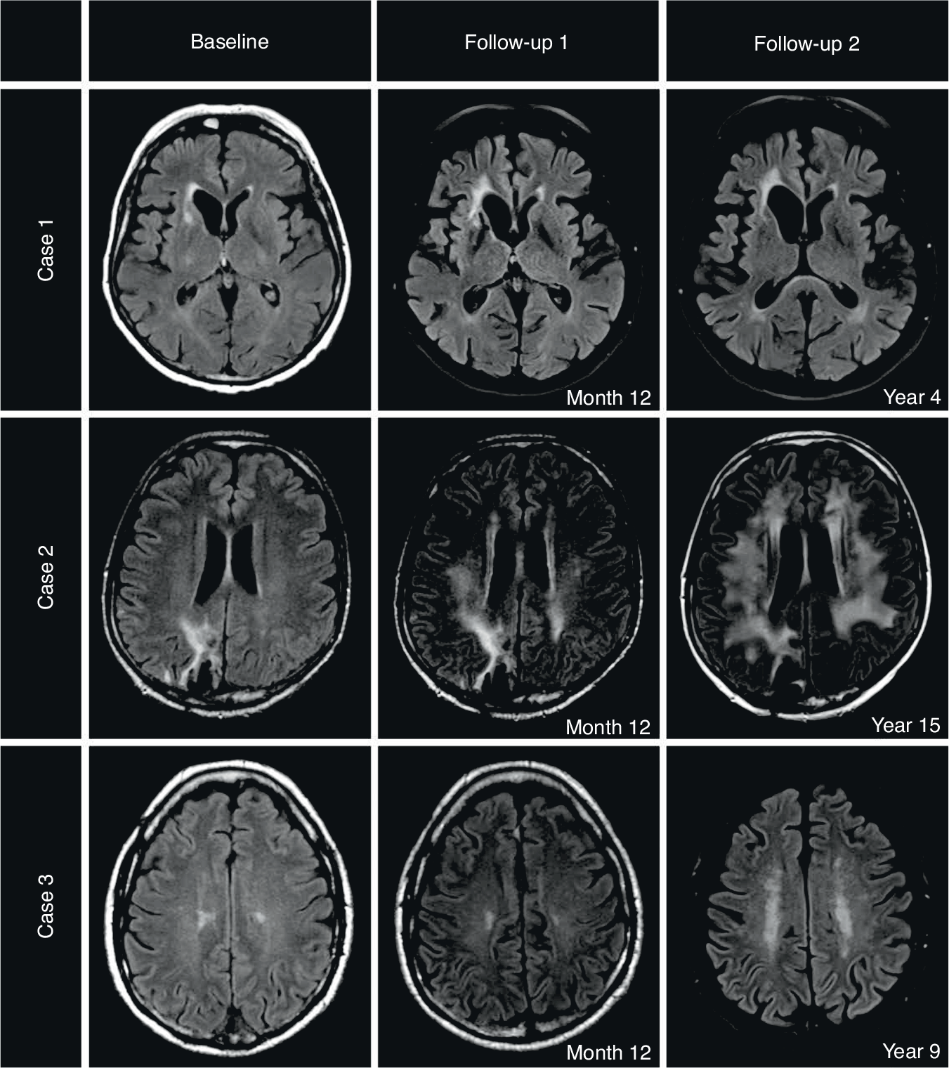
Fig. 3: Exemplary Time Courses of 3 PCNSL cases.

Case 1: Normal brain aging in a female PCNSL patient, 63 years at diagnosis with a 4-year follow-up period. Low WML burden at baseline (score 0) and at latest follow-up (score 1). Neurocognitive status at year 4: ECOG 0, MMSE 30 points, GHS unknown, QoL subscales all >80%. Case 2: Early WML changes in a male PCNSL patient, 43 years at diagnosis with a 15-year follow-up period. Low WML burden at baseline (score 0) with early conversion to high WML burden at month 12 (score 2). The high WML burden persisted until year 15 (score 3 from month 36 onwards). Neurocognitive status at year 15: ECOG 0, MMSE 28 points, GHS 50%. Case 3: Late WML changes in a male PCNSL patient, 60 years at diagnosis with a 9-year follow-up period. Low WML burden at baseline (score 1) with late conversion to high WML burden at month 60 (score 2). The high WML burden persisted unchanged until year 9 (score 2). Neurocognitive status at year 9: ECOG 0, MMSE 28 points, GHS 91.67.