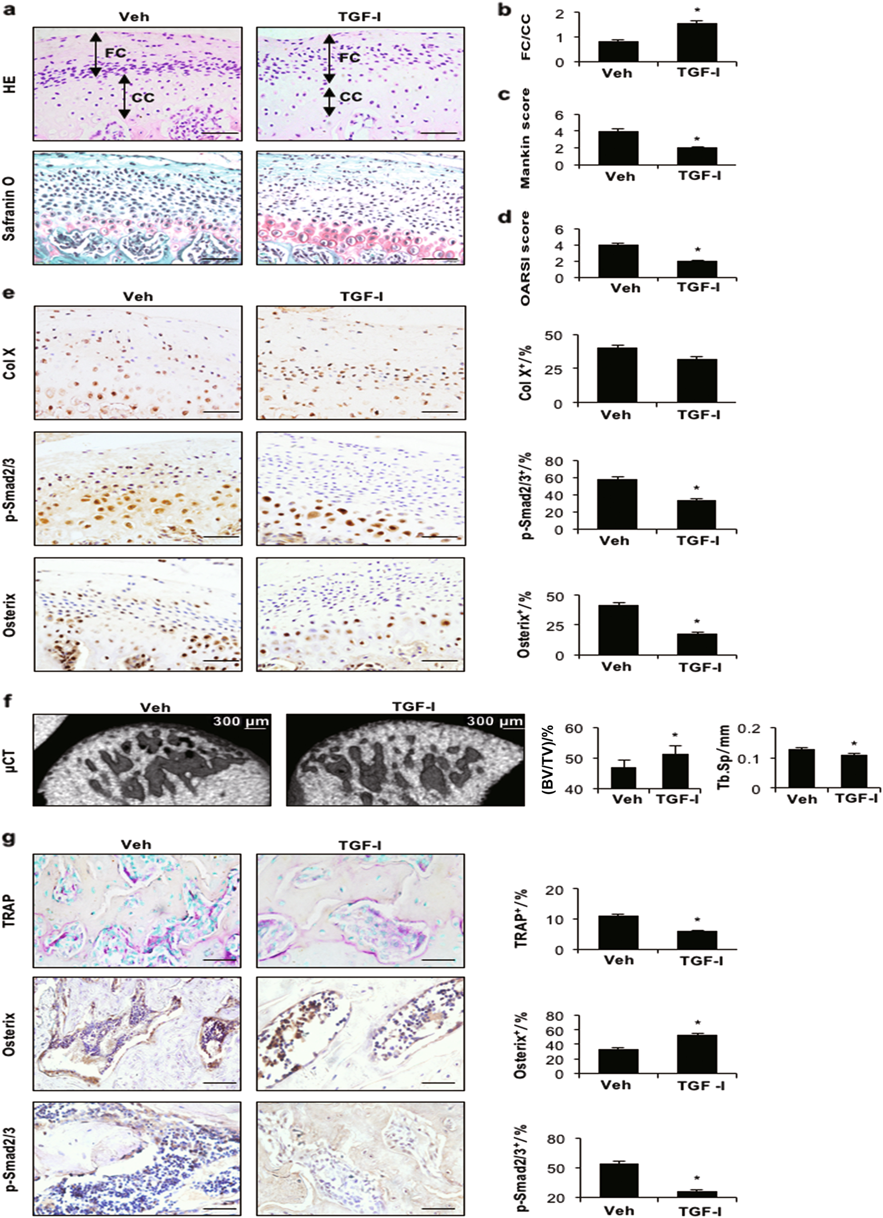
Fig. 5

TβRI inhibitor stabilises the subchondral bone microarchitecture in TMJ-OA rats. a HE (top) and Safranin O and fast green (bottom) staining analyses of glycosaminoglycan (red) in the TMJ mandibular condyle from TMD rats treated with 1 mg/kg body weight of the TβRI inhibitor daily for 30 days. Mandibular condylar cartilage cell layers (FC fibrocartilage layer, CC calcified cartilage layer). b FC/CC, c Mankin and d OARSI scores of rats. c Representative µCT images of the condylar subchondral bone and quantitative analysis of the structural parameters of subchondral bone. Scale bar = 300 μm. e Immunohistochemical analyses of Col X, p-Smad2/3 and Osterix (brown) in the mandibular condylar cartilage of TMD rats (left). p-Smad2/3- and Osterix-positive cells (brown) were counted in the cartilage layer (right). f Representative µCT images of the condylar subchondral bone. Quantitative analysis of the structural parameters of subchondral bone is shown on the right. g TRAP and immunohistochemical (Osterix and p-Smad2/3) staining of the TMJ subchondral bone. Quantitative analysis is shown on the right. Scale bar = 20 μm. n = 6 per group. *P < 0.05, one-way ANOVA followed by Tukey’s test. All data are reported as the mean ± s.d