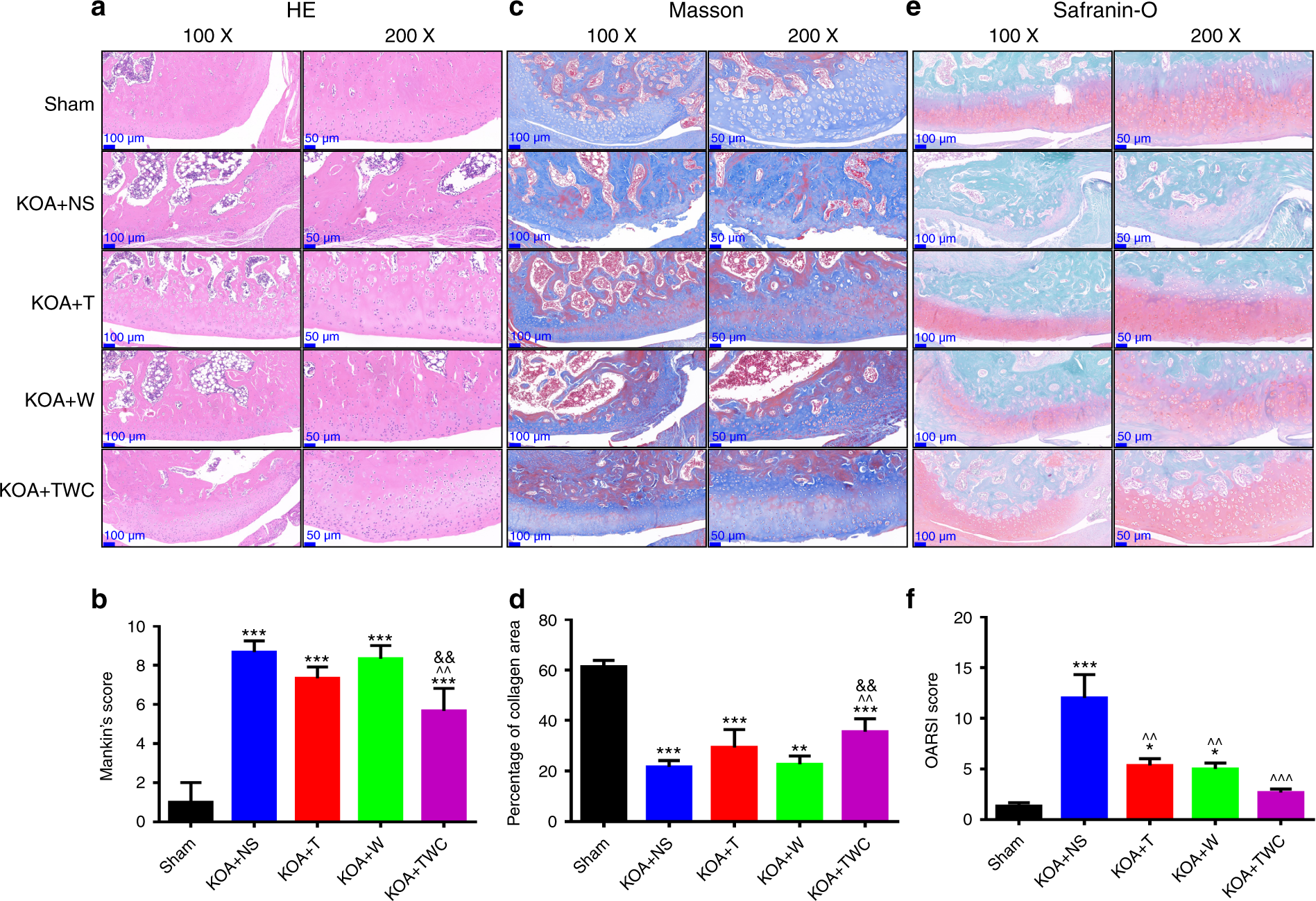
Fig. 6
From: Effects of tetrahedral framework nucleic acid/wogonin complexes on osteoarthritis

Images of rat cartilage sections at 1 month when stained by H&E, Masson, and Safranin-O. a Macroscopic images of H&E staining, b Mankin’s score for articular cartilage from all groups, c macroscopic images of Masson staining, d collagen area (%) of articular cartilage from all groups, e macroscopic images of Safranin-O staining, f OARSI semiquantitative scores of articular cartilage for all groups. Statistical analysis: (*) compared to the sham group; *P < 0.05, **P < 0.01, ***P < 0.001. (^) Compared to the KOA + NS group; ^^P < 0.01, ^^^P < 0.001. (&) Compared to the KOA + wogonin group; &&P < 0.01