Fig. 4

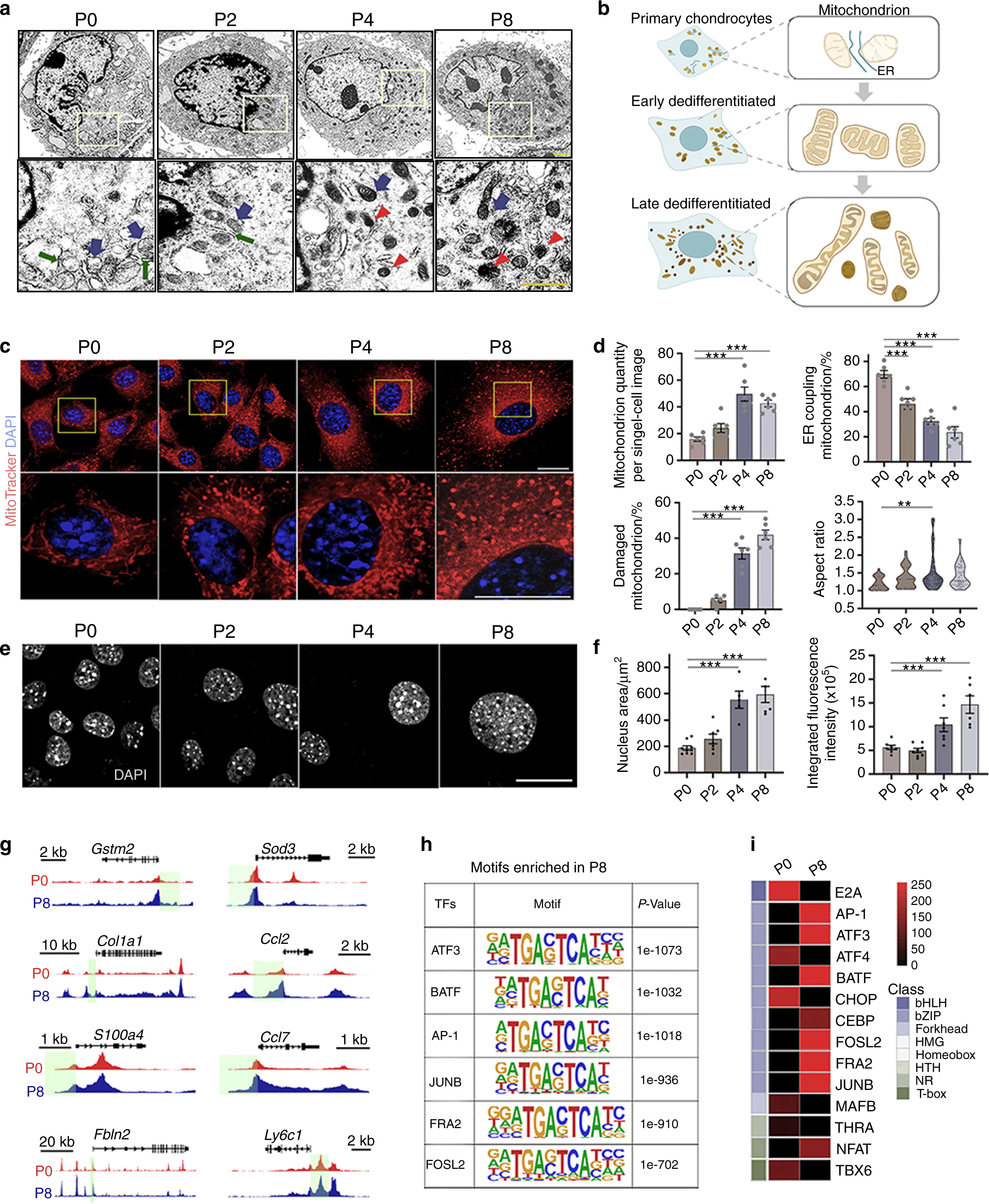
Late dedifferentiated chondrocytes exhibit ultrastructural changes in metabolic stress. a Representative images of mitochondria in P0-8 chondrocytes by transmission electron microscopy; scale bars: 1 μm; blue arrows: mitochondria, red arrows: damaged mitochondria, green arrows: endoplasmic reticulum. b Schematic diagram of mitochondrial morphological features in primary (P0), early dedifferentiated (P2) and late dedifferentiated chondrocytes (P4 and P8). c Representative images of MitoTracker-stained mitochondria in P0-8 chondrocytes; scale bars: 20 μm. d Quantitative analysis of mitochondrial TEM images of P0-8 chondrocytes. e, f Representative images and quantitative analysis of DAPI-stained nuclei in P0-8 chondrocytes by confocal microscopy; scale bars: 20 μm. g Representative genes with P8-specific open regions in promoters (promotor regions are marked in green). h Representative enriched TF binding motifs in P8. i Heatmap of enriched motifs in P0 and P8. All data are the mean ± SEM. *P < 0.05, **P < 0.01, ***P < 0.001.