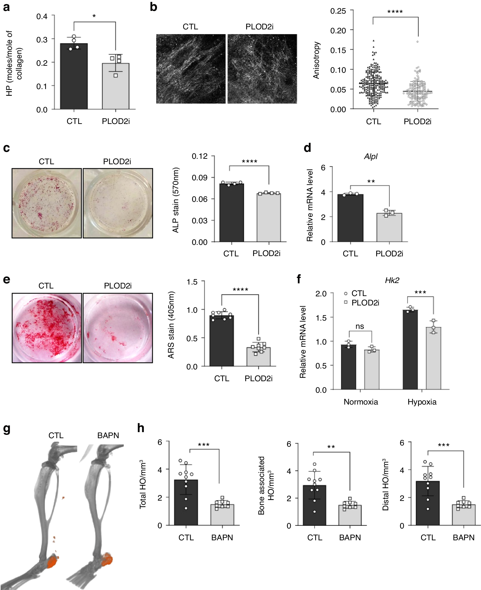
Fig. 6

The HIF-1α/PLOD2 pathway regulates cell motility and osteogenic differentiation of HO progenitor cells ex vivo. a The pyridinoline cross-link content was determined by HPLC of cell-matrix harvested 4-weeks treatment of cells with ascorbate-2-phosphate in the presence of PLOD2i. Pyridinoline cross-linking was significantly decreased in the cell/matrix of MPCs treated with PLOD2i for 4 weeks. The concentration of hydroxylysine pyridinoline (HP) cross-linking residues is expressed as moles/mole of collagen. *P < 0.05. Mann-Whitney unpaired t test, two-tailed (n = 3). b Collagen deposited by cultured MPCs was immunostained with a collagen α1[I] C-telopeptide antibody. The collagen matrix in MPCs treated with PLOD2i appears disorganized, while vehicle (DMSO) control appears to have aligned fibrillar collagen strands (n = 2, representative panels shown). The graph shows the quantification of anisotropy. Error bars represent mean ± SD. ****P < 0.000 1. Mann-Whitney unpaired t-test, two-tailed (n = 20). c Representative images of alkaline phosphatase (ALP) staining. MPCs were subjected to osteogenic differentiation for 7 days in the presence of PLOD2i or vehicle (DMSO). The graph quantifies ALP-staining intensity by measuring colorimetric absorbance at 570 nm wavelength. The results are expressed as the mean ± SD. ****P < 0.000 1. Mann-Whitney unpaired t-test, two-tailed (n = 4). d Real-time qPCR analysis of Alpl expression. MPCs isolated from a wild-type BT mouse were subjected to osteogenic differentiation for 7 days in the presence of a PLOD2 inhibitor or vehicle (DMSO). Error bars represent mean ± SD. **P < 0.01, versus vehicle control. Mann-Whitney unpaired t-test, two-tailed (n = 3). e Representative images of in vitro mineralization of MPCs. MPCs were subjected to osteogenic differentiation in the presence of PLOD2i or vehicle (DMSO). After 6 weeks in culture, mineralization was visualized by Alizarin Red S (ARS) staining. ARS stain was quantified by measuring colorimetric absorbance at 407 nm wavelength. The results are expressed as the mean ± SD. ****P < 0.000 1. Mann-Whitney unpaired t-test, two-tailed (n = 8). f Real-time qPCR analysis of Hk2 expression. MPCs isolated from a wild-type BT mouse were cultured in normoxic or hypoxic conditions in the presence of a PLOD2 inhibitor. Error bars represent mean ± SD. ***P < 0.001, versus vehicle control. Mann-Whitney unpaired t-test, two-tailed (n = 3). g Representative 3-D reconstruction μCT images of injured limbs from BAPN-treated mice and vehicle (5% sucrose)-treated mice 9 weeks post-BT. Ectopic bone formation was indicated by pseudo-coloring (orange) the bone. h Quantification of total, bone-associated, and distal HO. Error bars represent mean ± SD. **P < 0.01; ***P < 0.001. Mann-Whitney unpaired t-test, two-tailed (n = 10/group)