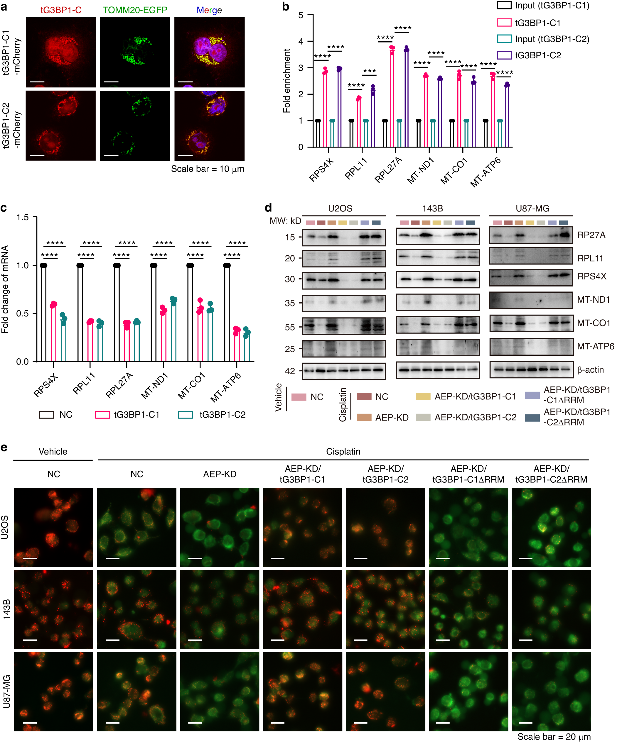
Fig. 4

tG3BP1-Cs bind to mitochondrial mRNA targets and suppress their translation to alleviate mitochondrial stress. a Representative images of the colocalization of tG3BP1-Cs with the mitochondrial marker TOMM20 in Hela cells. Scale bar = 10 μm. b RNP-IP analysis of the mRNA target encoding ribosomal proteins and oxidative phosphorylation binding to tG3BP1-Cs (n = 3) in tG3BP1-Cs overexpressed U2OS cells. c Ribosome profiling-qPCR analysis demonstrated that tG3BP1 overexpression in U2OS cells significantly downregulates mitochondrial genes translation. d WB analysis of mitochondrial genes expression in cell lines exposed to cisplatin (50 μmol/L) or vehicle for 6 h. e Cisplatin-induced mitochondrial damage was detected by JC-1 probe staining in cells of (d). Data are expressed as mean ± SD. ***P < 0.001, ****P < 0.000 1. One-way ANOVA