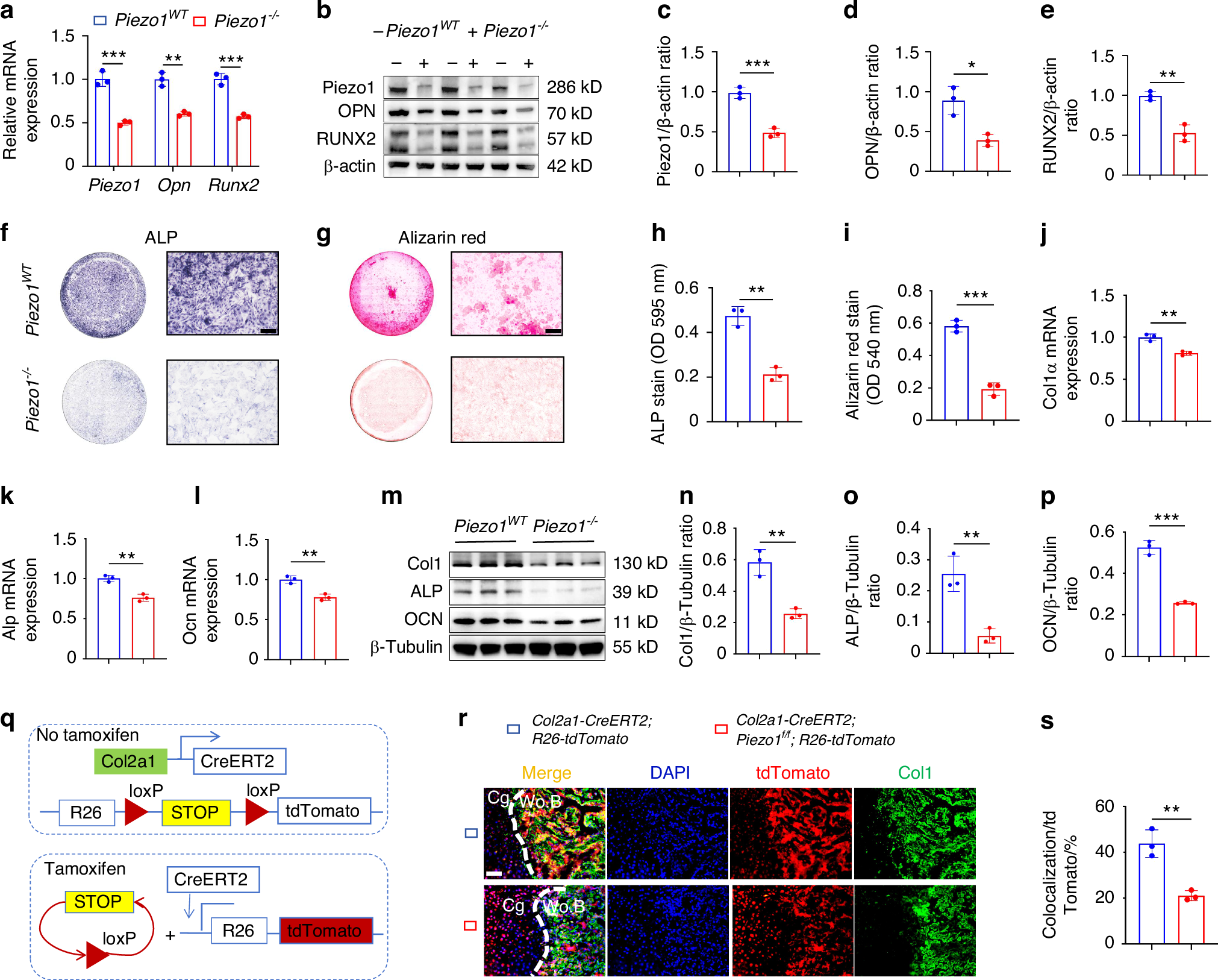
Fig. 1

Knockout of the Piezo1 gene in chondrocytes inhibits their transdifferentiation into osteoblasts. a qPCR was used to detect changes in the expression of Piezo1 and osteogenic markers Opn (Spp1) and Runx2 in each group after osteogenic induction culture, n = 3. b–e WB was used to detect changes in the expression of Piezo1 and osteogenic markers OPN and RUNX2 in each group after osteogenic induction culture and statistical analysis, n = 3. f, g ALP and alizarin red staining were used to detect ALP levels after 7 days of osteogenic induction culture and the expression of calcium nodules after 21 days of induction culture, scale = 200 μm. h, i Statistical analysis of ALP and Alizarin Red stain were performed, n = 3. j–l qPCR was used to detect changes in the expression of Col1α, Alp, and Ocn in each group, n = 3. m–p WB was used to detect changes in the expression of Col1α, ALP, and OCN in each group and statistical analysis, n = 3. q Schematic diagram of fluorescence colorimetric principle of gene mice R26-tdTomato. r Lineage tracing was used to detect the transdifferentiation forms of chondrocytes during endochondral ossification and the role of Piezo1 in endochondral ossification during fracture healing, scale = 50 μm, n = 3. Cg: Cartilage tissue; Wo.B: Woven bone tissue. blue: nucleus; red: tdTOmato; green: Col1; golden (colocalization): osteoblasts derived from chondrocytes’ transdifferentiation. s The statistical analysis of osteoblasts derived from chondrocytes’ transdifferentiation. *P < 0.05, **P < 0.01, and ***P < 0.001