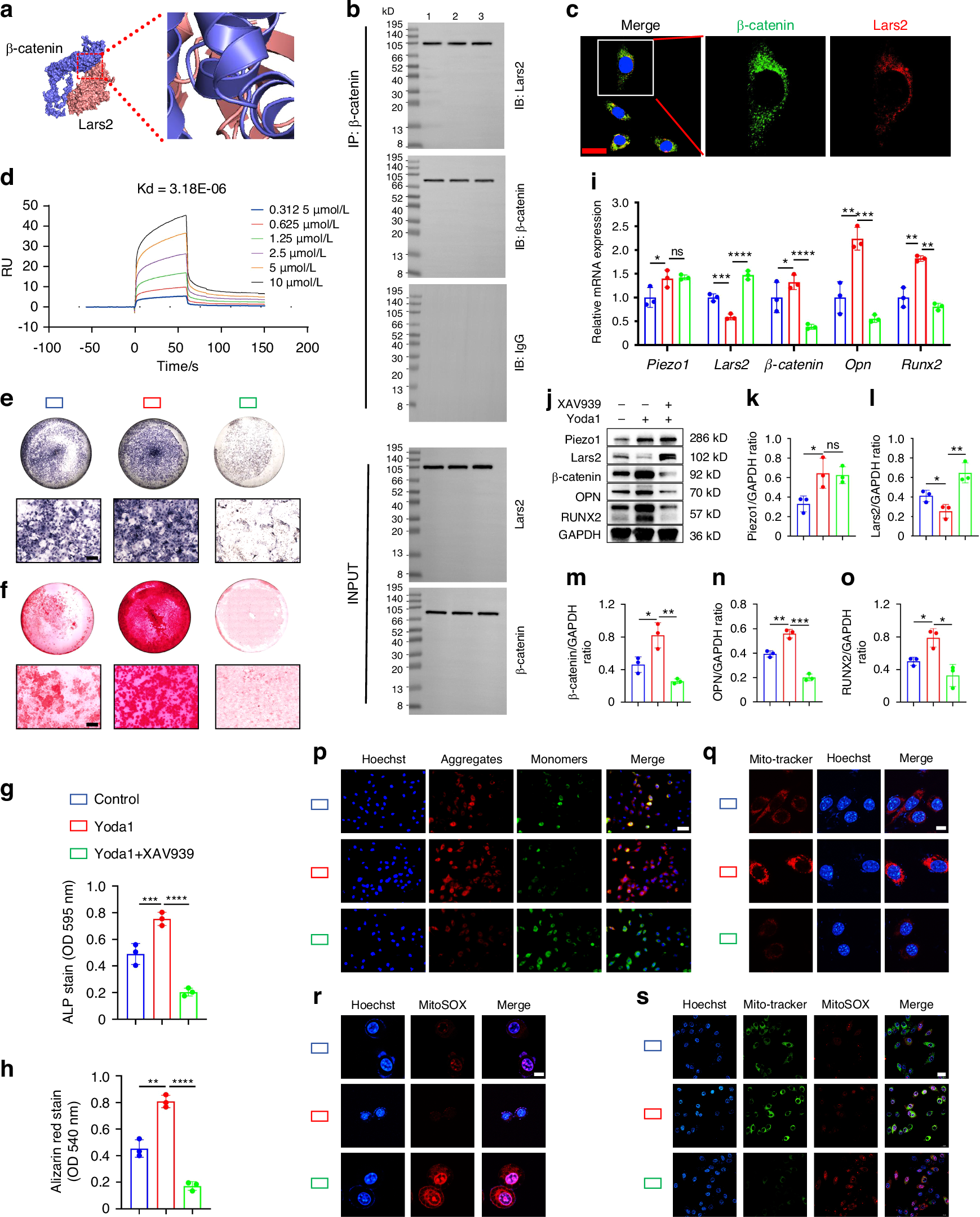
Fig. 7

Piezo1 can regulate Lars2 to affect mitochondrial function and promote endochondral ossification through β-catenin signaling. a The protein structures of CTNNB1 (β-catenin) and Lars2 were downloaded from the UniProt database, and the interaction between β-catenin and Lars2 was studied using Hdock. Blue: β-catenin protein structure; pink: Lars2 protein structure. b COIP analysis of the interaction between β-catenin and Lars2 proteins. c Immunofluorescence co-staining was performed to detect the co-localization between β-catenin and Lars2 proteins, scale = 20 µm. Blue fluorescence: cell nucleus; green fluorescence: β-catenin; red fluorescence: Lars2. d SPR experiments were performed to analyze the binding affinity between β-catenin and Lars2 protein. e, f ALP and alizarin red staining were used to detect ALP levels after 7 days of osteogenic induction culture and the expression of calcium nodules after 21 days of induction culture, scale = 200 μm. g, h Statistical analysis of ALP and alizarin red were performed, n = 3. i qPCR was used to detect mRNA expression of Piezo1, β-catenin, Lars2, Opn, and Runx2 in each group, n = 3. j–o WB was used to detect the protein expression of Piezo1, β-catenin, Lars2, and the osteogenic markers OPN and RUNX2 in each group and statistical analysis, n = 3. p JC-1 staining was used to detect changes in mitochondrial membrane potential in each group, scale = 50 µm, n = 3. Blue fluorescence: nuclei of live cells; red fluorescence: JC-1 exists in the form of polymers (J-aggregates) in mitochondria; green fluorescence: JC-1 exists in the form of monomers in mitochondria. q Mito-Tracker Red CMXRos staining was used to detect fluorescence changes in mitochondria with biological activity in each group, scale = 2.51 µm, n = 3. Red fluorescence: Mitochondria with biological activity; blue fluorescence: Nuclei of live cells. r MitoSOX Red was used to detect changes in superoxide expression within cell mitochondria in each group, scale = 10 µm, n = 3. Blue fluorescence: nuclei of live cells; red fluorescence: oxidation product formed by reaction with MitoSOX Red. s Mito-Tracker Green and MitoSOX Red double staining were used to detect changes in mitochondrial function in each group, scale = 20 µm, n = 3. Blue fluorescence: nuclei of live cells; green fluorescence: mitochondrial morphology in live cells; red fluorescence: oxidation product formed by reaction with MitoSOX Red. *P < 0.05, **P < 0.01, ***P < 0.001, ****P < 0.000 1, and ns > 0.05