Fig. 7
From: The dental demolition derby: bruxism and its impact - part 1: background

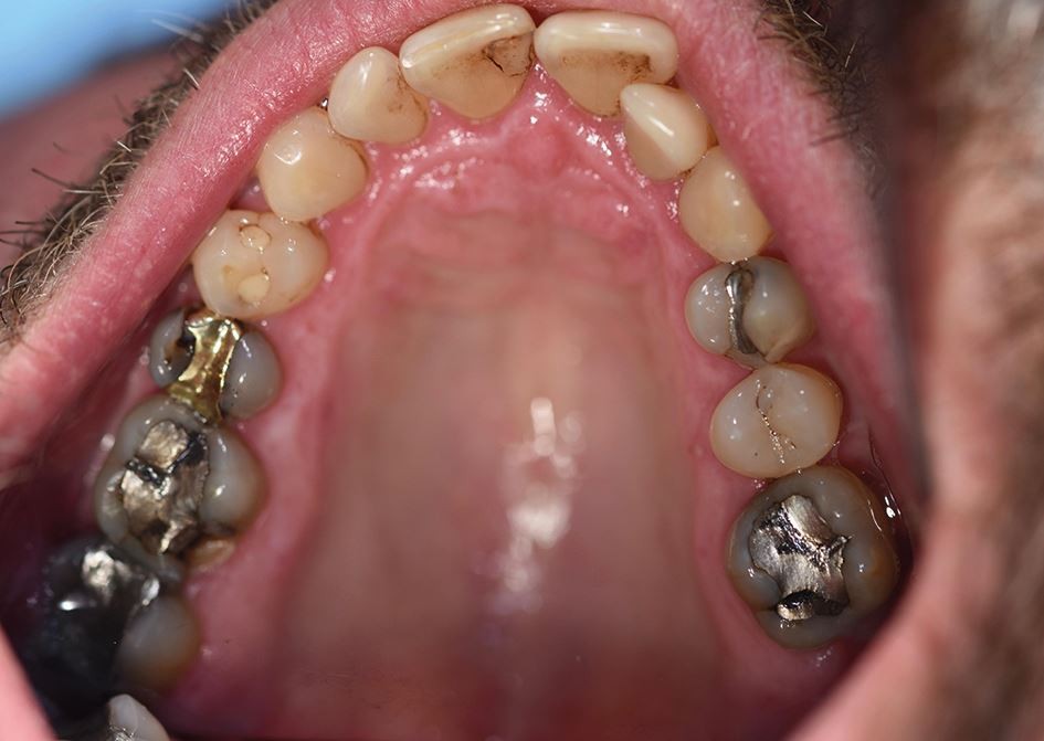
Rhythmic masticatory muscle activity. Note there is only one cusp fracture and minimal wear faceting. Treatment need stratification score: 14
From: The dental demolition derby: bruxism and its impact - part 1: background

Rhythmic masticatory muscle activity. Note there is only one cusp fracture and minimal wear faceting. Treatment need stratification score: 14