Fig. 4

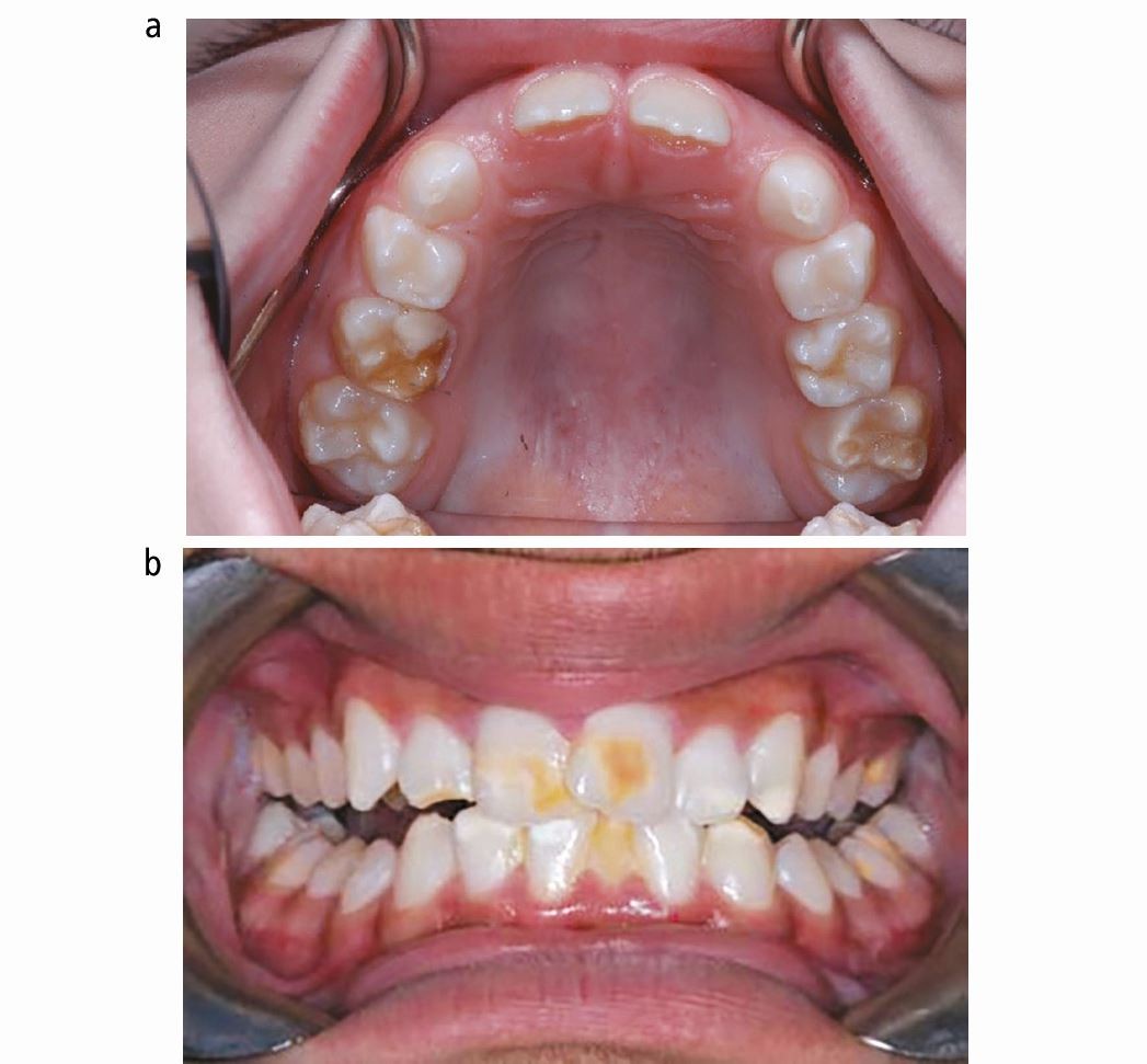
a, b) Opacities due to MIH are often well defined and can present as white/cream/yellow or brown in colour with increasingly less mineral content

a, b) Opacities due to MIH are often well defined and can present as white/cream/yellow or brown in colour with increasingly less mineral content