Fig. 8
From: Rehabilitating a severely worn dentition with removable prosthodontics

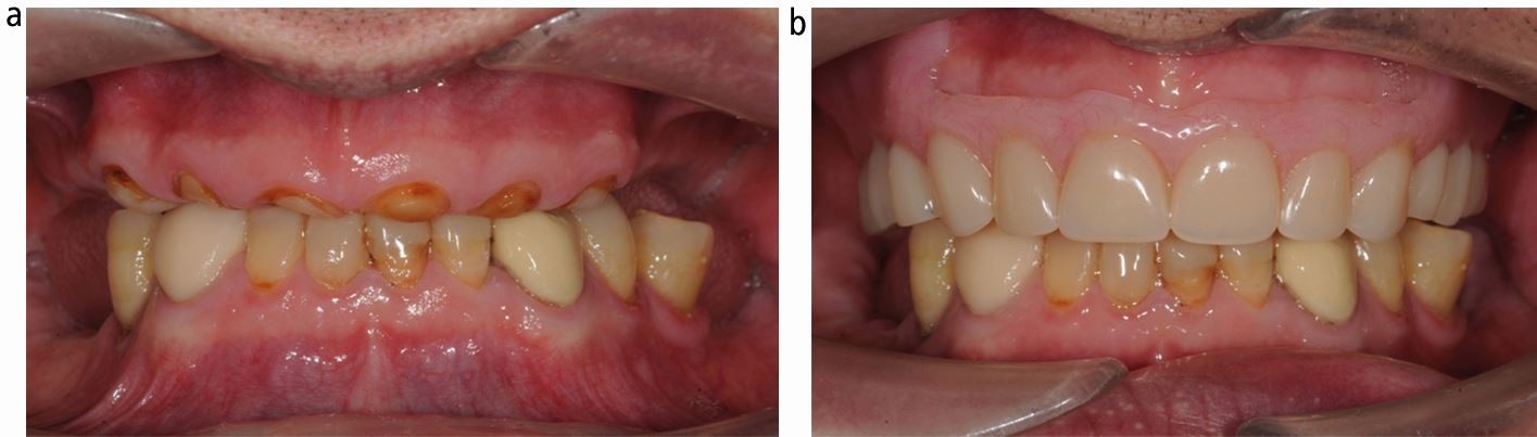
a, b) A partial, or apron flange is useful to minimise overbulking lip support where there are retained roots, whilst aiding in anterior retention of the denture
From: Rehabilitating a severely worn dentition with removable prosthodontics

a, b) A partial, or apron flange is useful to minimise overbulking lip support where there are retained roots, whilst aiding in anterior retention of the denture