Abstract
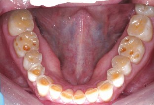
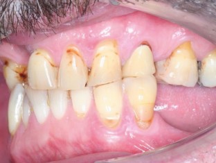
Tooth wear is a commonly reported finding globally; however, many patients are unaware of having tooth wear. Identifying early signs of erosion, abrasion or attrition and determining the risk factors contributing to a patient's tooth wear may help to prevent further loss of enamel and dentine in the future. Appropriate prevention should be instigated, or appropriate referral made to other health professionals, when conditions such as gastroesophageal reflux or eating disorders are suspected. This paper presents the epidemiology and aetiological factors for tooth wear, as well as identifying the common clinical presentations of tooth wear. Patient perspectives on tooth wear and preventive techniques that can be utilised are also discussed.
Key points
-
This paper summarises the clinical presentation of erosion, attrition and abrasion.
-
Prevalence of tooth wear and aetiological factors are discussed in detail.
-
Strategies for prevention of tooth wear are described.
This is a preview of subscription content, access via your institution
Access options
Subscribe to this journal
Receive 24 print issues and online access
$259.00 per year
only $10.79 per issue
Buy this article
- Purchase on SpringerLink
- Instant access to the full article PDF.
USD 39.95
Prices may be subject to local taxes which are calculated during checkout









Similar content being viewed by others
References
Bartlett D, O'Toole S. Tooth Wear: Best Evidence Consensus Statement. J Prosthodont 2021; DOI: 10.1111/jopr.13312.
Van't Spijker A, Rodriguez J M, Kreulen C M, Bronkhorst E M, Bartlett D W, Creugers N H J. Prevalence of tooth wear in adults. Int J Prosthodont 2009; 22: 35-42.
Ray D S, Wiemann A H, Patel P B, Ding X, Kryscio R J, Miller C S. Estimation of the rate of tooth wear in permanent incisors: a cross-sectional digital radiographic study. J Oral Rehabil 2015; 42:460-466.
Rodriguez J M, Austin R S, Bartlett D W. In vivo measurements of tooth wear over 12 months. Caries Res 2012; 46: 9-15.
Bartlett D, Ganss C, Lussi A. Basic Erosive Wear Examination (BEWE): a new scoring system for scientific and clinical needs. Clin Oral Investig 2008; DOI: 10.1007/s00784-007-0181-5.
Awad M A, El Kassas D, Al Harthi L et al. Prevalence, severity and explanatory factors of tooth wear in Arab populations. J Dent 2019; 80: 69-74.
Bartlett D W, Lussi A, West N X, Bouchard P, Sanz M, Bourgeois D. Prevalence of tooth wear on buccal and lingual surfaces and possible risk factors in young European adults. J Dent 2013; 41: 1007-1013.
NHS Digital. Adult Dental Health Survey 2009. 2011. Available at https://digital.nhs.uk/data-and-information/publications/statistical/adult-dental-health-survey/adult-dental-health-survey-2009-summary-report-and-thematic-series (accessed February 2023).
Ahmed K E, Murray C A, Whitters C J. A prospective survey of secondary care tooth wear referrals: demographics, reasons for concern and referral outcomes. Br Dent J 2014; DOI: 10.1038/sj.bdj.2014.179.
Schlueter N, Luka B. Erosive tooth wear - a review on global prevalence and on its prevalence in risk groups. Br Dent J 2018; 224: 364-370.
Schlueter N, Tveit A B. Prevalence of erosive tooth wear in risk groups. Monogr Oral Sci 2014; 25: 74-98.
Hermont A P, Pordeus I A, Paiva S M, Abreu M H, Auad S M. Eating disorder risk behaviour and dental implications among adolescents. Int J Eat Disord 2013; 46: 677-683.
Mulic A, Skudutyte-Rysstad R, Tveit A B, Skaare A B. Risk indicators for dental erosive wear among 18-yr-old subjects in Oslo, Norway. Eur J Oral Sci 2012; 120: 531-538.
Moazzez R, Anggiansah A, Botha A J, Bartlett D. Association of achalasia and dental erosion. Gut 2005; 54: 1665-1666.
Fernández C E, Brandao A C S, BÃcego-Pereira E C, Del Bel Cury A A, Cury J A, Tenuta L M A. Effect of pH and titratable acidity on enamel and dentine erosion. Clin Oral Investig 2022; 26: 5867-5873.
O'Toole S, Bernabé E, Moazzez R, Bartlett D. Timing of dietary acid intake and erosive tooth wear: A case-control study. J Dent 2017; 56: 99-104.
O'Toole S, Mullan F. The role of the diet in tooth wear. Br Dent J 2018; 224: 379-383.
Mulic A, Tveit A B, Hove L H, Skaare A B. Dental erosive wear among Norwegian wine tasters. Acta Odontol Scand 2011; 69: 21-26.
Chikte U M E, Naidoo S, Kolze T J, Grobler S R. Patterns of tooth surface loss among winemakers. SADJ 2005; 60: 370-374.
Wiktorsson A M, Zimmerman M, Angmar-MÃ¥nsson B. Erosive tooth wear: prevalence and severity in Swedish winetasters. Eur J Oral Sci 1997; 105: 544-550.
Bartlett D, O'Toole S. Tooth wear and aging. Aus Dent J 2019; DOI: 10.1111/adj.12681.
Van't Spijker A, Kreulen C M, Creugers N H J. Attrition, occlusion, (dys)function, and intervention: a systematic review. Clin Oral Implants Res 2007; 18: 117-126.
Rees J S, Somi S. A guide to the clinical management of attrition. Br Dent J 2018; 224: 319-323.
Meirelles L, Cunha Matheus Rodrigues Garcia R. Influence of bruxism and splint therapy on tongue pressure against teeth. Cranio 2016; 34: 100-104.
Przystańska A, Jasielska A, Ziarko M et al. Psychosocial Predictors of Bruxism. Biomed Res Int 2019; 2019: 2069716.
Polmann H, Réus J C, Massignan C et al. Association between sleep bruxism and stress symptoms in adults: A systematic review and meta-analysis. J Oral Rehabil 2021; 48: 621-631.
Manfredini D, Winocur E, Guarda-Nardini L, Paesani D, Lobbezoo F. Epidemiology of bruxism in adults: a systematic review of the literature. J Orofac Pain 2013; 27: 99-110.
Wetselaar P, Vermaire E J H, Lobbezoo F, Schuller A A. The prevalence of awake bruxism and sleep bruxism in the Dutch adult population. J Oral Rehabil 2019; 46: 617-623.
Miyawaki S, Tanimoto Y, Araki Y, Katayama A, Fujii A, Takano-Yamamoto T. Association between nocturnal bruxism and gastroesophageal reflux. Sleep 2003; 26: 888-892.
Milosevic A, Agrawal N, Redfearn P, Mair L. The occurrence of toothwear in users of Ecstasy (3,4-methylenedioxymethamphetamine). Community Dent Oral Epidemiol 1999; 27: 283-287.
Reyad A A, Girgis E, Ayoub A, Mishriky R. Bruxism and psychotropic medications. Prog Neurol Psychiatry 2020; 24: 31-35.
Lobbezoo F, Visscher C, M, Ahlberg J, Manfredini D. Bruxism and genetics: a review of the literature. J Oral Rehabil 2014; 41: 709-714.
Emodi-Perlman A, Hochhauser T, Winocur P, Friedman-Rubin P, Eli I. The effect of smartphones on daytime sleepiness, temporomandibular disorders, and bruxism among young adults. Quintessence Int 2021; 52: 548-559.
Kozawa T, Igarashi Y, Yamashita S. Posterior occlusal support and bite force influence on the mandibular position. Eur J Prosthodont Restor Dent 2003; 11: 33-40.
Litonjua L A, Andreana S, Bush P J, Cohen R E. Tooth wear: attrition, erosion, and abrasion. Quintessence Int 2003; 34: 435-446.
Greenwall L H, Greenwall-Cohen J, Wilson N H F. Charcoal-containing dentifrices. Br Dent J 2019; 226: 697-700.
Mehta S B, Francis S, Banerji S. A Guided, Conservative Approach for the Management of Localized Mandibular Anterior Tooth Wear. Dent Update 2016; 43: 106-112.
Al-Hiyasat A S, Saunders W P, Sharkey S W, Smith G M, Gilmour W H. The abrasive effect of glazed, unglazed, and polished porcelain on the wear of human enamel, and the influence of carbonated soft drinks on the rate of wear. Int J Prosthodont 1997; 10: 269-282.
El Wazani B, Dodd M N, Milosevic A. The signs and symptoms of tooth wear in a referred group of patients. Br Dent J 2012; DOI: 10.1038/sj.bdj.2012.840.
Patel J, Baker S R. Is toothwear associated with oral health related quality of life in adults in the UK? Community Dent Health 2020; 37: 174-179.
Verploegen V J N, Schuller A A. Erosive tooth wear: Knowledge among young adults and their preferred information sources. Int J Dent Hyg 2019; 17: 85-92.
Dynesen A W, Gehrt C A, Klinker S E, Christensen L B. Eating disorders: experiences of and attitudes toward oral health and oral health behaviour. Eur J Oral Sci 2018; 126: 500-506.
Nehme M, Parkinson C R, Zero D T, Hara A T. Randomised study of the effects of fluoride and time on in situ remineralisation of acid-softened enamel. Clin Oral Investig 2019; 23: 4455-4463.
Lussi A, Buzalaf M A R, Duangthip D et al. The use of fluoride for the prevention of dental erosion and erosive tooth wear in children and adolescents. Eur Arch Paediatr Dent 2019; 20: 517-527.
Dowd E T. Nocturnal bruxism and hypnotherapy: a case study. Int J Clin Exp Hypn 2013; 61: 205-218.
Clarke J H, Reynolds P J. Suggestive hypnotherapy for nocturnal bruxism: a pilot study. Am J Clin Hypn 1991; 33: 248-253.
Macedo C R, Silva A B, Machado M A C, Saconato H, Prado G F. Occlusal splints for treating sleep bruxism (tooth grinding). Cochrane Database Syst Rev 2007; DOI: 10.1002/14651858.CD005514.pub2.
Poyser N J, Briggs P F A, Chana H S, Kelleher M G D, Porter R W J, Patel M M. The evaluation of direct composite restorations for the worn mandibular anterior dentition - clinical performance and patient satisfaction. J Oral Rehabil 2007; 34: 361-76.
National Institute for Health and Care Excellence. Eating disorders: recognition and treatment. 2017. Available at www.nice.org.uk/guidance/ng69 (accessed February 2023).
Author information
Authors and Affiliations
Contributions
The paper was written by A. Johanna Leven, who also provided the majority of figures used in the manuscript. Martin Ashley reviewed the paper and provided some figures, comments for changes and improvements.
Corresponding author
Ethics declarations
The authors declare no conflicts of interest.
Rights and permissions
About this article
Cite this article
Leven, A., Ashley, M. Epidemiology, aetiology and prevention of tooth wear. Br Dent J 234, 439–444 (2023). https://doi.org/10.1038/s41415-023-5624-0
Received:
Revised:
Accepted:
Published:
Version of record:
Issue date:
DOI: https://doi.org/10.1038/s41415-023-5624-0
This article is cited by
-
Identifying clusters of raters with a common notion of diagnosing erosive tooth wear: a step towards improving the accuracy of diagnostic procedures
European Journal of Medical Research (2025)
-
Does motivational interviewing have a role in dentistry?
BDJ Team (2025)
-
Does motivational interviewing have a role in dentistry?
British Dental Journal (2025)
-
Dental care staff’s experience with risk assessment of dental erosion: a qualitative study
BMC Oral Health (2024)
-
Long-term occlusal tooth wear at the onset of permanent dentition
Clinical Oral Investigations (2024)


