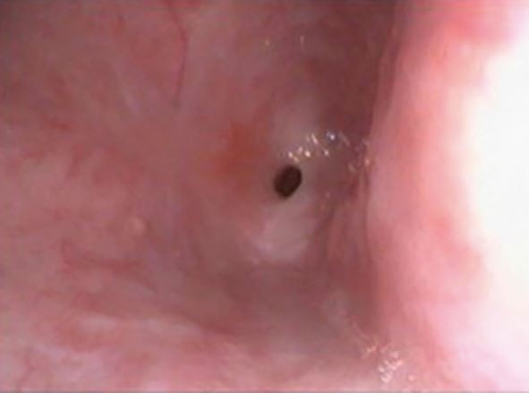
Fig. 6 | British Dental Journal