Abstract
Primary molar teeth that are retained beyond their exfoliation pose a clinical decision-making challenge for dental teams. The retention of these teeth may be due to absence of a permanent successor. As a result, careful planning is required to determine if retention or extraction is necessary. This article aims to discuss the prevalence of retained primary molars, assessment and treatment planning considerations, from both orthodontic and restorative perspectives.
Key points
-
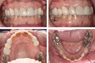
Describes prevalence of retained primary molars and assessment parameters of these teeth.
-
Explains considerations for retaining primary molars and methods of utilisation.
-
Explains considerations for extraction of primary molars and consequences if retained, such as infraocclusion.
This is a preview of subscription content, access via your institution
Access options
Subscribe to this journal
Receive 24 print issues and online access
$259.00 per year
only $10.79 per issue
Buy this article
- Purchase on SpringerLink
- Instant access to the full article PDF.
USD 39.95
Prices may be subject to local taxes which are calculated during checkout







Similar content being viewed by others
Change history
11 April 2025
A Correction to this paper has been published: https://doi.org/10.1038/s41415-025-8602-x
References
Becker H M, Glass R L, Shiere F R. Exfoliation of the deciduous teeth during the ages of mixed dentition. J Dent Res 1972; 51: 498-502.
Polder B J, Van't Hof M A, Van der Linden F P, Kuijpers-Jagtman A M. A meta-analysis of the prevalence of dental agenesis of permanent teeth. Community Dent Oral Epidemiol 2004; 32: 217-226.
Bjerklin K, Bennett J. The long-term survival of lower second primary molars in subjects with agenesis of the premolars. Eur J Orthod 2000; 22: 245-255.
Winter G B, Gelbier M J, Goodman J R. Severe Infra-occlusion and failed eruption of deciduous molars associated with eruptive and developmental disturbances in the permanent dentition: a report of 28 selected cases. Br J Orthod 1997; 24: 149-157.
Goodman J R, Jones S P, Hobkirk J A, King P A. Hypodontia: 1. Clinical features and the management of mild to moderate hypodontia. 1994.
Hobkirk J A, King P A, Goodman J R, Jones S P. Hypodontia: 2. The management of severe hypodontia. Dent Update 1995; 22: 8-11.
Nunn J H, Carter N E, Gillgrass T J et al. The interdisciplinary management of hypodontia: background and role of paediatric dentistry. Br Dent J 2003; 194: 245-251.
Al-Ani A H, Antoun J S, Thomson W M, Merriman T R, Farella M. Hypodontia: An Update on Its Etiology, Classification, and Clinical Management. Biomed Res Int 2017; 2017: 9378325.
Robinson S, Chan M F. New teeth from old: treatment options for retained primary teeth. Br Dent J 2009; 207: 315-320.
Lynch R J. The primary and mixed dentition, post-eruptive enamel maturation and dental caries: a review. Int Dent J 2013; DOI: 10.1111/idj.12076.
Coll J A, Seale N S, Vargas K, Marghalani A A, Al Shamali S A, Graham L. Primary Tooth Vital Pulp Therapy: A Systematic Review and Meta-analysis. Paediatr Dent 2017; 39: 16-123.
Rodd H D, Waterhouse P J, Fuks A B, Fayle S A, Moffat M A. Pulp therapy for primary molars. Int J Paediatr Dent 2006; DOI: 10.1111/j.1365-263X.2006.00774.x.
Hvaring C L, Birkeland K. The long-term fate of persisting deciduous molars and canines in 42 patients with severe hypodontia: a 12-year follow-up. Eur J Orthod 2019; DOI: 10.1093/ejo/cjz090.
Sreeja R, Minal C, Madhuri T, Swati P, Vijay W. A scanning electron microscopic study of the patterns of external root resorption under different conditions. J Appl Oral Sci 2009; 17: 481-486.
Garib D G, Alves A C, Janson G, Salles R B, Ferreira D G. Correlation of root resorption and infraocclusion in mandibular deciduous second molars without succedaneous permanent teeth. J World Fed Orthodont 2014; 3: 110-113.
Miller S C. Textbook of periodontia oral medicine. Philadelphia: Blakiston, 1950.
McGeown M, O'Connell A. Management of primary molar infraocclusion in general practice. J Ir Dent Assoc 2014; 60: 192-198.
Joondeph D R, McNeill R W. Congenitally absent second premolars: an interceptive approach. Am J Orthod 1971; 59: 50-66.
Hua L, Thomas M, Bhatia S, Bowkett A, Merrett S. To extract or not to extract? Management of infraoccluded second primary molars without successors. Br Dent J 2019; 227: 93-98.
Bjerklin K. Orthodontic management of agenesis of mandibular second premolars. APOS Trends Orthod 2019; 9: 206-210.
Hvaring C L, Øgaard B, Stenvik A, Birkeland K. The prognosis of retained primary molars without successors: infraocclusion, root resorption and restorations in 111 patients. Eur J Orthod 2014; 36: 26-30.
Brearley L J, McKibben Jr D H. Ankylosis of primary molar teeth. I. Prevalence and characteristics. ASDC J Dent Child 1973; 40: 54-63.
Kurol J, Magnusson B C. Infraocclusion of primary molars: a histologic study. Scand J Dent Res 1984; 92: 564-576.
Arhakis A, Boutiou E. Etiology, Diagnosis, Consequences and Treatment of Infraoccluded Primary Molars. Open Dent J 2016; 10: 714-719.
Steigman S, Koyoumdjisky-Kaye E, Matrai Y. Submerged deciduous molars in preschool children: an epidemiologic survey. J Dent Res 1973; 52: 322-326.
Darling A I, Levers B G. Submerged human deciduous molars and ankylosis. Arch Oral Biol 1973; 18: 1021-1040.
Becker A, Karnei-R'em R M. The effects of infraocclusion: Part 1. Tilting of the adjacent teeth and local space loss. Am J Orthod Dentofacial Orthop 1992; 102: 256-264.
Becker A, Karnei-R'em R M. The effects of infraocclusion: Part 2. The type of movement of the adjacent teeth and their vertical development. Am J Orthod Dentofacial Orthop 1992; 102: 302-309.
Becker A, Karnei-R'em R M, Steigman S. The effects of infraocclusion: Part 3. Dental arch length and the midline. Am J Orthod Dentofacial Orthop 1992; 102: 427-433.
Laverty D P, Fairbrother K, Addison O. The Current Evidence on Retaining or Prosthodontically Replacing Retained Deciduous Teeth in the Adult Hypodontia Patient: A Systematic Review. Eur J Prosthodont Restor Dent 2018; 26: 2-15.
Kokich V G, Kokich V O. Congenitally missing mandibular second premolars: clinical options. Am J Orthod Dentofacial Orthop 2006; 130: 437-444.
Acknowledgements
We would like to acknowledge contributions from Tara Maroke (Specialty Registrar in Orthodontics, Birmingham Dental Hospital, UK).
Author information
Authors and Affiliations
Contributions
Nimit J. Patel, Hannah P. Beddis, Harmeet K. Dhaliwal, Kathryn Durey and Cian Lowney all contributed equally.
Corresponding author
Ethics declarations
The authors declare no conflict of interest.
Written consent to publish has been obtained for all figures.
Rights and permissions
About this article
Cite this article
J. Patel, N., P. Beddis, H., K. Dhaliwal, H. et al. Restorative dentistry clinical decision-making for hypodontia: retained primary molars. Br Dent J 235, 477–482 (2023). https://doi.org/10.1038/s41415-023-6318-3
Received:
Revised:
Accepted:
Published:
Version of record:
Issue date:
DOI: https://doi.org/10.1038/s41415-023-6318-3
This article is cited by
-
Maintaining retained infra-occluded primary molars in hypodontia patients to reduce surgical complexity of dental implant surgery: a retrospective study
British Dental Journal (2025)
-
The role of the general dental practitioner in the management of the hypodontia patient
British Dental Journal (2023)


