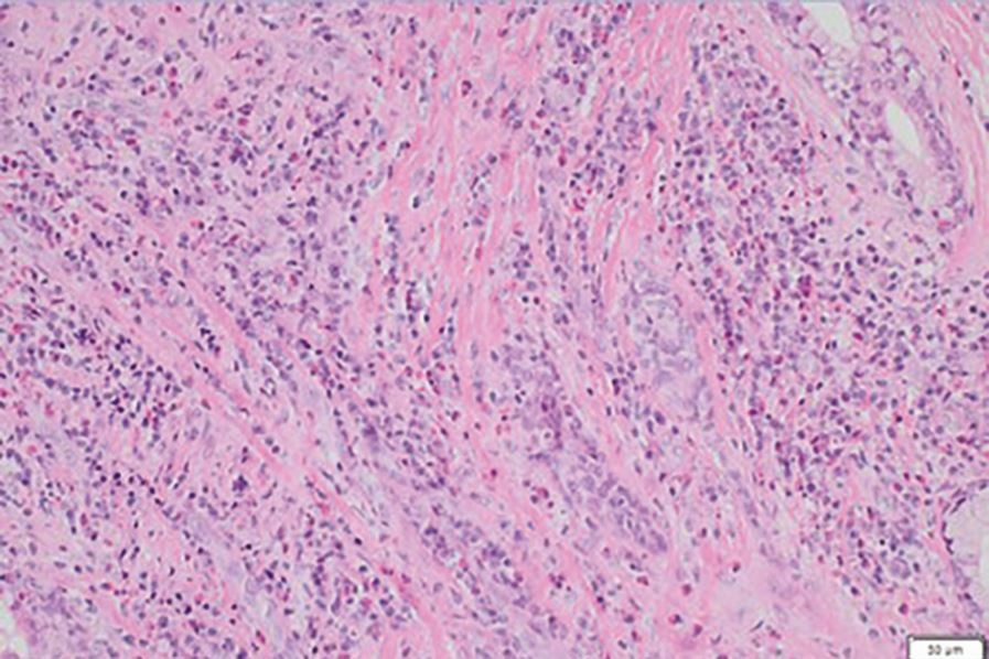
Fig. 4
From: Cocaine-induced destruction of the palate: a diagnostic and management challenge

Histopathology of biopsy specimen from palatal tissue (report: non-specific inflammatory process, characterised by dense interstitial inflammatory infiltrate, no evidence of granulomas, and negative for syphilis, fungal infection, or Epstein-Barr virus. There was an increase in IgG4+ plasma cells, raising the suspicion of IgG4-related disease. The sample was negative for vasculitis, lymphoma, and malignancy)