Fig. 4
From: Successful partial pulpotomy of a permanent mandibular molar: a two-year case report

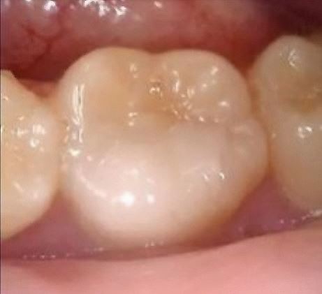
Clinical photograph of mandibular left first molar at two years and two months review appointment
From: Successful partial pulpotomy of a permanent mandibular molar: a two-year case report

Clinical photograph of mandibular left first molar at two years and two months review appointment