Abstract
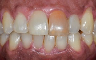
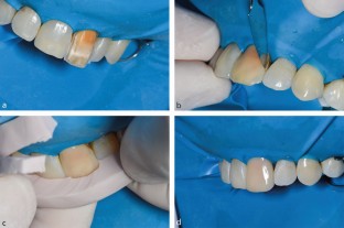
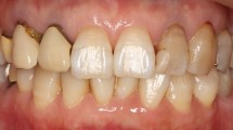
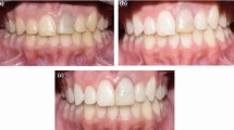
The use of single-shade dental composites is a promising alternative to multi-shade resin-based composite (RBC). These materials are distinguished by an absence of pigments in their composition, enhancing colour stability, simplifying shade matching and reducing costs. These new strategies are increasingly used to achieve a technical simplification. This study reports a case of a direct composite veneer restoration for a discoloured anterior tooth using a combination of a resin blocker and a single-shade RBC. A 53-year-old male patient presented at the clinic, reporting a problem with a discoloured maxillary left central incisor. The restoration procedure was performed under rubber dam isolation. After veneer cavity preparation, selective acid etching on the enamel and the application of a universal adhesive system, a 1 mm layer of blocker resin was applied. This was followed by an application of the single-shade RBC. Visual and photographic assessments of the clinical outcome demonstrated satisfactory results, with the restoration colour harmoniously matching the tooth's natural colour. Patient satisfaction was evaluated through a questionnaire, with a positive outcome reported. Despite being a monochromatic composite resin, the combined use of single-shade and blocker resins presents a viable alternative for aesthetically restoring discoloured teeth and seems to simplify the restorative technique for producing an aesthetic result.
Key points
-
In this article, we approach a case solution of a darkened tooth with the use of single-shade resin-based composite and a blocking resin.
-
This alternative seems to simplify the restorative technique for reproducing dental colour, regarding cost, time and clinical procedures.
-
To our knowledge, there have been no reports on the combined use of blocker and single-shade in a severe case of an anterior single tooth darkened due to trauma.
This is a preview of subscription content, access via your institution
Access options
Subscribe to this journal
Receive 24 print issues and online access
$259.00 per year
only $10.79 per issue
Buy this article
- Purchase on SpringerLink
- Instant access to the full article PDF.
USD 39.95
Prices may be subject to local taxes which are calculated during checkout




Similar content being viewed by others
References
Coelho-de-Souza F H, Gonçalves D S, Sales M P et al. Direct anterior composite veneers in vital and non-vital teeth: a retrospective clinical evaluation. J Dent 2015; 43: 1330-1336.
Schlichting L H, Stanley K, Magne M, Magne P. The non-vital discolored central incisor dilemma. Int J Esthet Dent 2015; 10: 548-562.
Paolone G, Orsini G, Manauta J, Devoto W, Putignano A. Composite shade guides and color matching. Int J Esthet Dent 2014; 9: 164-182.
Yanikian C R F, Yanikian F, Sundfeld D, Lins R, Martins L. Direct composite resin veneers in nonvital teeth: a still viable alternative to mask dark substrates. Oper Dent 2019; DOI: 10.2341/18-220-T.
De Abreu J L B, Sampaio C S, Benalcázar Jalkh E B, Hirata R. Analysis of the color matching of universal resin composites in anterior restorations. J Esthet Restor Dent 2021; 33: 269-276.
Lucena C, Ruiz-López J, Pulgar R, Della Bona A, Pérez M M. Optical behavior of one-shaded resin-based composites. Dent Mater 2021; 37: 840-848.
Röder T, dos Santos E R. Monochromatic compound resins: a literature review. Braz J Dev 2022; 8: 13581-13604.
Durand L B, Ruiz-López J, Perez B G et al. Color, lightness, chroma, hue, and translucency adjustment potential of resin composites using CIEDE2000 color difference formula. J Esthet Restor Dent 2021; 33: 836-843.
Tokuyama Dental. Omnichroma - every shade, one choice: technical report. Available at https://omnichroma.com/us/resources/ (accessed July 2024).
Miranda A O, Favoreto M W, Matos T P et al. Color match of a universal-shade composite resin for restoration of non-carious cervical lesions: an equivalence randomized clinical trial. Oper Dent 2024; 49: 20-33.
Zulekha, Vinay C, Uloopi K S, RojaRamya K S, Penmatsa C, Ramesh M V. Clinical performance of one shade universal composite resin and nanohybrid composite resin as full coronal esthetic restorations in primary maxillary incisors: a randomized controlled trial. J Indian Soc Pedod Prev Dent 2022; 40: 159-164.
Korkut B, Ünal T, Can E. Two-year retrospective evaluation of monoshade universal composites in direct veneer and diastema closure restorations. J Esthet Restor Dent 2023; 35: 525-537.
Atasayar E, Ulusoy N. The effect of blocker application on color matching of different colored composite resin systems. Materials 2023; 16: 4954.
Dietschi D, Ardu S, Krejci I. A new shading concept based on natural tooth color applied to direct composite restorations. Quintessence International2006; 37: 91-102.
Yanikian C, Yanikian F, Sundfeld D, Lins R, Martins L. Direct composite resin veneers in nonvital teeth: a still viable alternative to mask dark substrates. Oper Dent 2019; DOI: 10.2341/18-220-T.
Uribe J. Simplifying quadrant dentistry using a single-shade composite. Compend Contin Educ Dent 2024; 45: 5-9.
Author information
Authors and Affiliations
Contributions
All authors contributed significantly to the research and manuscript preparation. ABR: conceptualised the study, conducted the clinical case, wrote the manuscript and supervised the research. CGB: wrote the manuscript, made revisions and final approval. MJBP: conducted the clinical case and provided critical revisions. All authors reviewed and approved the final manuscript.
Corresponding author
Ethics declarations
The authors declare no conflicts of interest. Complete written informed consent was obtained from the patient for the publication of this study and accompanying images.
Rights and permissions
Springer Nature or its licensor (e.g. a society or other partner) holds exclusive rights to this article under a publishing agreement with the author(s) or other rightsholder(s); author self-archiving of the accepted manuscript version of this article is solely governed by the terms of such publishing agreement and applicable law.
About this article
Cite this article
Ramos, A., Barquete, C. & Pinhão, M. Can a single-shade resin composite mask darkened teeth in a veneer restoration? A clinical case report. Br Dent J 239, 31–33 (2025). https://doi.org/10.1038/s41415-025-8661-z
Received:
Revised:
Accepted:
Published:
Version of record:
Issue date:
DOI: https://doi.org/10.1038/s41415-025-8661-z


