Fig. 2
From: Tumour buds determine prognosis in resected pancreatic ductal adenocarcinoma

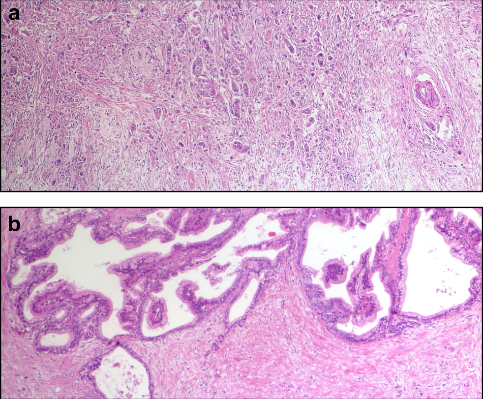
a Representative case with a high amount of tumour buds (magnification ×400). b Representative case with a low amount of tumour buds (magnification ×400)
From: Tumour buds determine prognosis in resected pancreatic ductal adenocarcinoma

a Representative case with a high amount of tumour buds (magnification ×400). b Representative case with a low amount of tumour buds (magnification ×400)