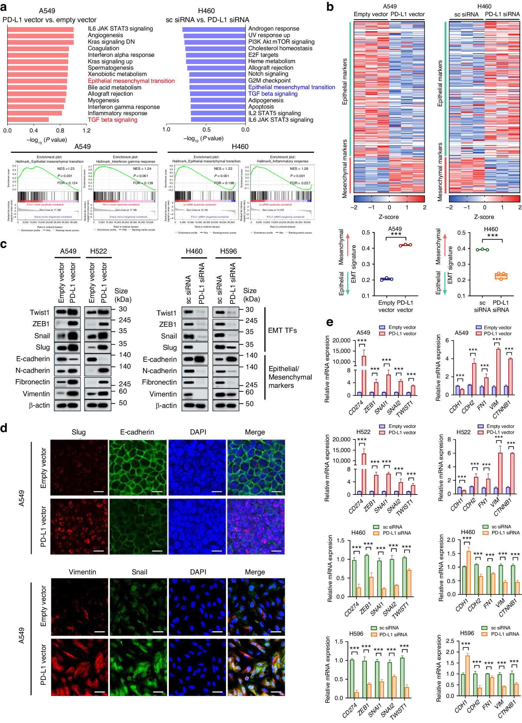
Fig. 1: Expression of PD-L1 intrinsically promotes EMT in lung cancer cells.

The human NSCLC cell lines A549 and H522 were transfected with PD-L1-expressing or empty vectors, and H460 and H596 were transfected with PD-L1 siRNA or scrambled siRNA. At 24 h after plasmid vector transfection and 48 h after siRNA transfection, cells were subjected to RNA and protein extraction for further analysis. a The figure depicts hallmark gene sets enriched in PD-L1-overexpressing A549 compared to control as well as those downregulated in PD-L1-knockdown H460 compared to control. b Heatmap showing differences in mRNA expression of 170 epithelial markers and 48 mesenchymal markers in A549 cells with PD-L1 overexpression versus control and H460 cells with PD-L1 knockdown versus control. c, d Protein expression of EMT markers was analyzed by Western blotting and immunofluorescence staining. Scale bar = 10 μm (upper), 20 μm (lower). e mRNA expression of EMT markers was analyzed by qRT-PCR. Histograms represent values normalized to control. Data are presented as mean ± S.E.M. of three independent experiments. *p < 0.05, **p < 0.01, and ***p < 0.001.