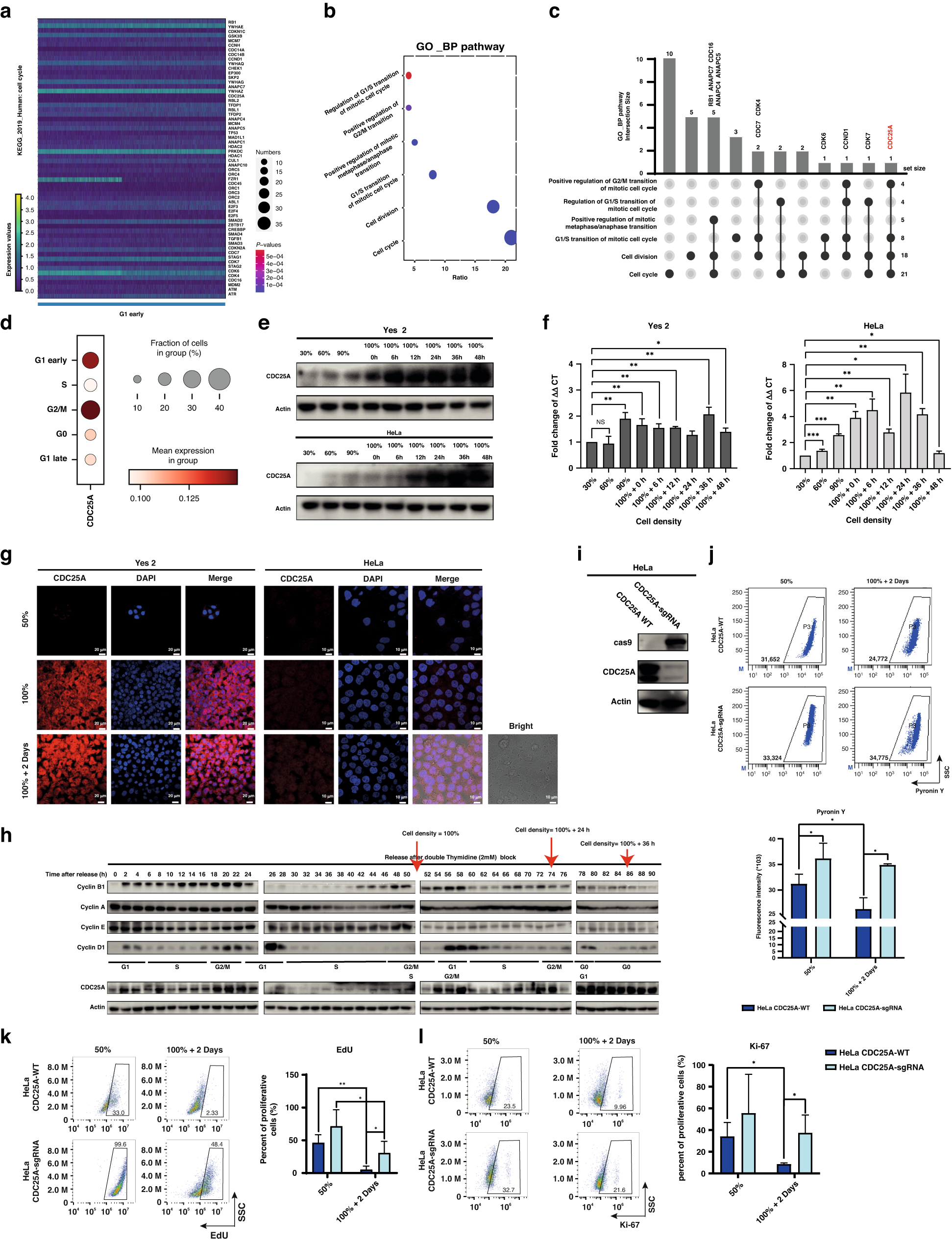
Fig. 2: CDC25A plays a crucial role in entrance of cell quiescent state screened out by scRNA-seq analysis.

a Gene expression of “cell cycle” pathways adjusted p-value of 0.02, enriched by KEGG in “G1 early”cluster. b Pathways related to cell cycle phases transition enriched by GO_BP analysis. c, UpSet plot of pathways in b. d The pattern of CDC25A expression in all clusters of single-cell UMAP plots. e Western Blot analysis of CDC25A expression in different cell densities. f RT-qPCR analysis of CDC25A expression in different cell densities. *p < 0.05, **p < 0.01. g Immunofluorescence analysis of CDC25A in different densities of tumor cells. h Western Blot analysis of CDC25A expression and cell-cycle-related markers after release from 2 mM double thymidine blocking cell cycle and releasing into mitosis. The cell density reached approximately 100% at 50 h after release. Red arrow: Time of release corresponding to the density reached at that point. i Western Blot analysis of the HeLa CDC25A-sgRNA cell line (knocked out CDC25A) after transfecting CDC25A sgRNA. j, RNA content assay by flow cytometry. Quantification by the mean fluorescent intensity (MFI). *p < 0.05. k Flow cytometry plots of proliferative (EdU positive) cells. *p < 0.05, **p < 0.01. l, Flow cytometry plots of proliferative (Ki-67 positive) cells. *p < 0.05.