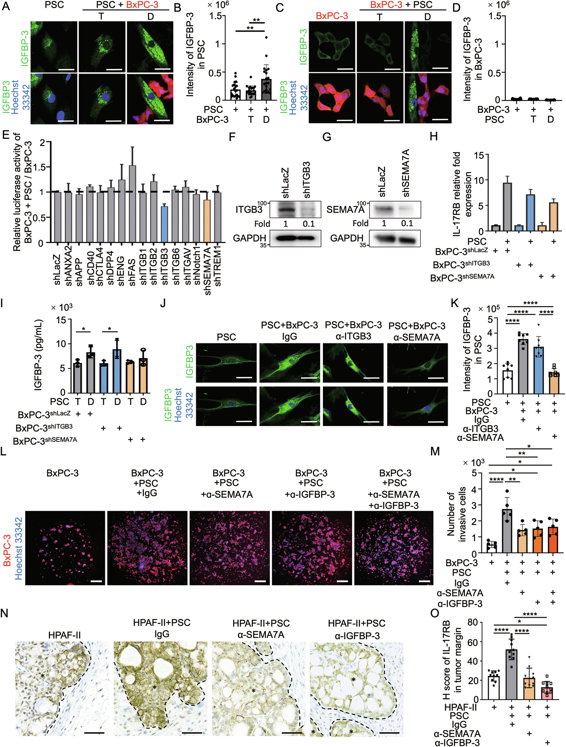
Fig. 5: SEMA7A-expressing tumor cells induce directly contacting fibroblasts to secrete IGFBP-3 for IL-17RB upregulation.

A, C Immunofluorescence staining of IGFBP-3 (green signal) and Hoechst 33342 (blue signal) was conducted on PSC (A) or BxPC-3-mcherry (red signal) (C) under monocultured, transwell-cocultured, or direct-cocultured conditions with the other cell type, and images were captured using a confocal microscope. A protein transport inhibitor (containing monensin) was used for IGFBP-3 accumulation in the Golgi complex before staining. Scale bar, 20 μm. B, D Quantification results of IGFBP-3 intensity in perinuclear regions of PSC (B) or BxPC-3 (D) analyzed by Image J. Each dot represents the datum from one cell (n = 20). Values are expressed as mean ± SD. **, P < 0.01 (one-way ANOVA). E RNAi knockdown screening of candidate plasma membrane proteins (n = 15) that induced IL-17RB expression during direct tumor-fibroblast contact. Luciferase activity of the IL-17RB reporter in cocultured PSCs/BxPC-3 cells was normalized to monocultured BxPC-3 cells. F, G Western blotting analysis of proteins harvested from BxPC-3 cells stably expressing lentiviral-based LacZshRNA, ITGB3shRNA (F), or SEMA7AshRNA (G). H IL-17RB mRNA levels were measured by quantitative real-time PCR in BxPC-3 cells (shLacZ, shITGB3, shSEMA7A) following 24-hrs mono-culture or direct coculture with PSCs with three technical repeats. I IGFBP-3 protein levels were measured by ELISA analysis in supernatant of BxPC-3 cells (shLacZ, shITGB3, shSEMA7A) following 48-hrs transwell (T) or direct (D)-cocultured with PSCs with three technical repeats. Values were presented as mean ± SD. *, P < 0.05 (two-tailed Student’s t-test). J, K Immunofluorescence staining of IGFBP-3 (green signal) in PSCs under different conditions. In these conditions, PSCs are grown alone or cocultured with BxPC-3 cells and treated with IgG (control), anti-ITGB3 (sc-52685, Santa Cruz Biotechnology), or anti-SEMA7A (sc-374432, Santa Cruz Biotechnology) neutralizing antibodies (all at 1 μg/mL). Representative images (J) and quantification results (K) of IGFBP-3. Scale bar, 20 μm. Each dot represents the datum from one cell (n = 8). Values are expressed as mean ± SD. ****, P < 0.0001 (one-way ANOVA). L, M Representative images (L) and quantification results (M) of Matrigel invasion assays of BxPC3 cells under different conditions. These conditions include BxPC-3 cells alone or those cocultured with PSCs treated with IgG, anti-SEMA7A (sc-374432, Santa Cruz Biotechnology), or anti-IGFBP-3 (AF675, R&D Systems) neutralizing antibodies (all at 1 μg/mL). Each dot represents the datum from one independent experiment (n = 5). Values are expressed as mean ± SD. *, P < 0.05; **, P < 0.01; ****, P < 0.0001 (one-way ANOVA). N, O HPAF-II cells and mixed HPAF-II/PSC cells were injected subcutaneously in NOD/SCID/IL2Rγnull mice. Mice in the mixed HPAF-II/PSC group received treatment every 3 days with IgG (control), anti-SEMA7A (sc-374432, Santa Cruz Biotechnology), or anti-IGFBP (AF675, R&D Systems) neutralizing antibodies (all at 1 μg/mL). The neutralizing antibodies were subcutaneously injected adjacent to subcutaneous tumors every 2 days. After 14 days, all mice were sacrificed, and tumor samples were collected for analysis. Representative IHC images (N) and H scores (O) of IL-17RB expression. Scale bar, 50 μm. Each dot represents the datum from a single high-power field (n = 10). Values were presented as mean ± SD. *, P < 0.05; ****, P < 0.0001 (one-way ANOVA).