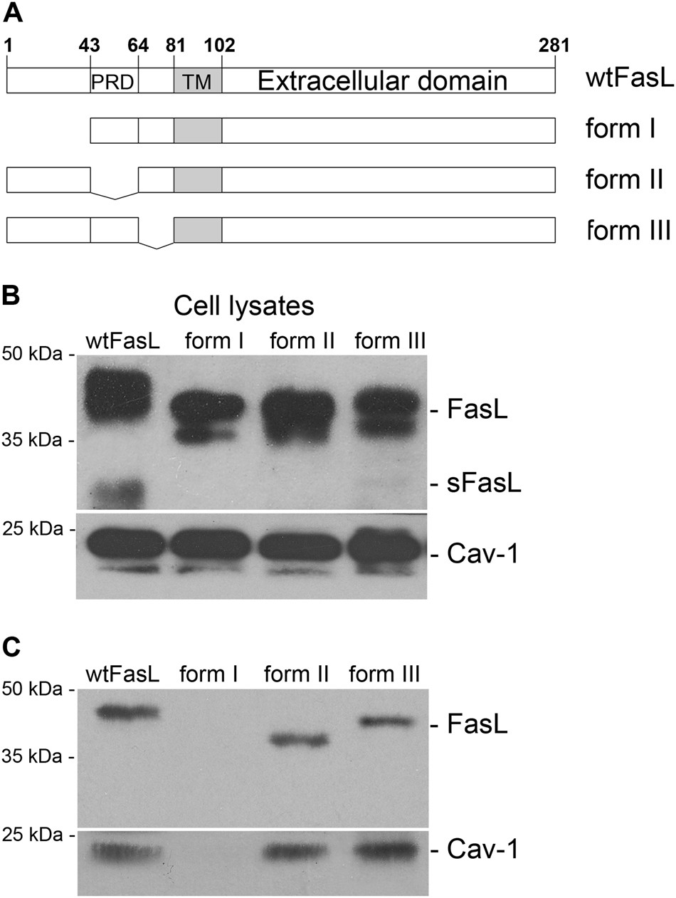
Fig. 3: N-terminal domain of FasL is important for interaction with caveolin-1

a Schematic diagram of FasL and its mutant forms. PRD polyproline domain, TM transmembrane domain. b Immunoblot analysis of FasL and caveolin-1 expression in HeLa cells transfected with wild (wt) and mutant forms of FasL (form I: Δ1–42, form II: Δ43–63, and form III: Δ64–80). c HeLa cells overexpressing wild type (wt) and mutant forms (Δ1–42, Δ43–63, and Δ64–80) of FasL were lysed, and immunoprecipitation with anti-caveolin-1 Abs was carried out followed by staining with anti-Fas-ligand mAbs (upper panel), or lysates were immunoprecipitated with anti-Fas-ligand mAbs followed by staining with anti-caveolin-1 Abs (lower panel)