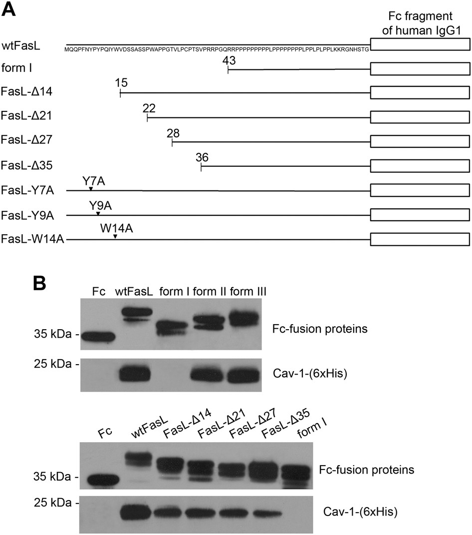
Fig. 5: Mapping of FasL domains responsible for the interaction with caveolin-1

a Schematic diagram showing various deletion mutants of FasL N-terminal pre-PRD fusion protein b Recombinant caveolin-1 (6xHis) was incubated with wild-type (FasL) or FasL mutant intracellular domain - Fc fusion proteins. Associates were stained with anti-human Fc Abs (upper panels) and anti-caveolin-1 Abs (lower panels)