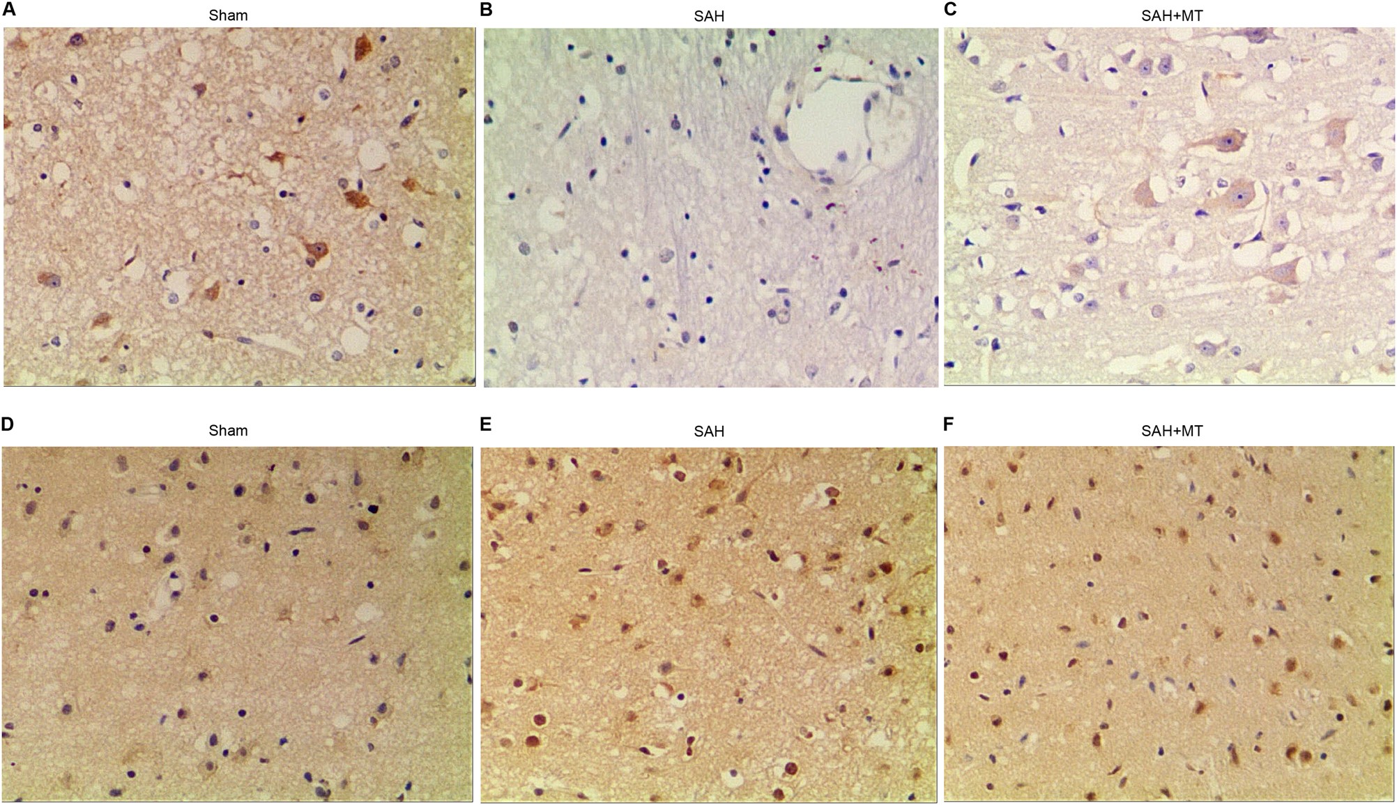
Fig. 8: Levels of TP53 and NGF were different among different groups

a−c NGF protein level in the SAH + MT treatment group was much lower than in the sham group, and was even lower in the SAH group. d−f TP53 protein level in the SAH group was much higher than in the SAH + MT treatment group; both of them were much higher than the sham group