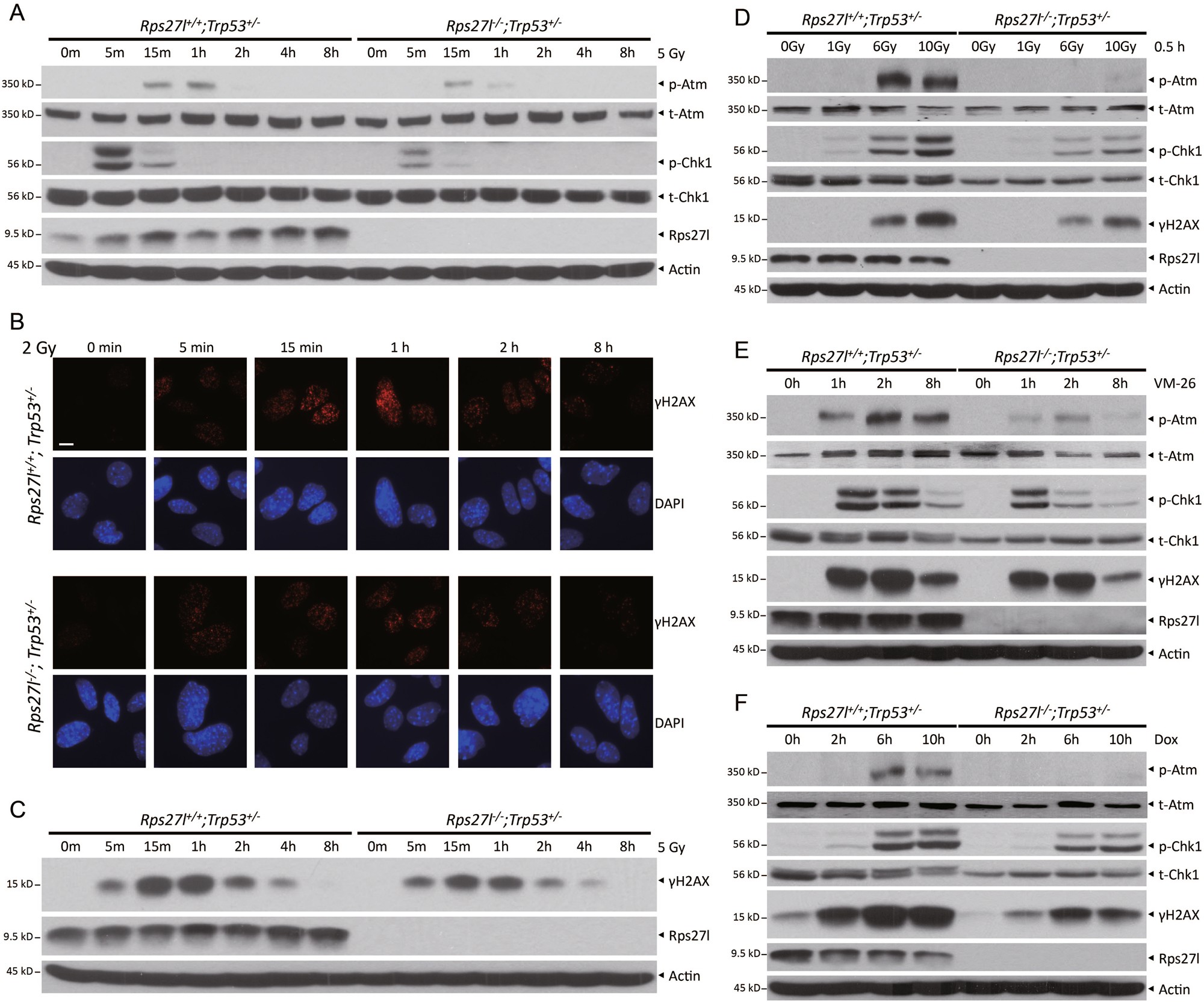
Fig. 4: Rps27l inactivation impairs the activation of Atm and DNA damage response.

a–c Inactivation of Rps27l impairs DNA damage response in Trp53+/− MEFs upon radiation. MEFs with indicated genotypes were irradiated for indicated periods of time, followed by IB with indicated antibodies (a, c) or immunofluorescent staining (b). d–f Inactivation of Rps27l impairs DNA damage response in Trp53+/− MEFs upon different doses of radiation (d) or upon treatment with DNA damage agents: 5 µM VM-26 (e) or 1 µM doxorubincin (Dox) (f) for indicated time periods, followed by IB with indicated antibodies