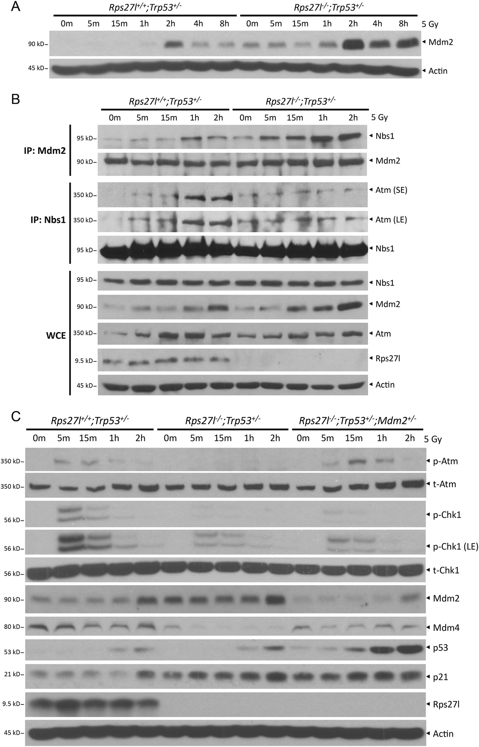
Fig. 6: Rps27l inactivation impairs the activation of Atm via increased binding of Mdm2 with Nbs1.

a Inactivation of Rps27l induces Mdm2 levels in Trp53+/− MEFs. MEFs with indicated genotypes were left untreated or irradiated at 5 Gy. Cells were then harvested at indicated time points post irradiation, followed by IB with indicated antibodies. b Inactivation of Rps27l increases the binding of Mdm2 with Nbs1 and decreases the binding of Nbs1 with Atm in Trp53+/− MEFs. MEFs with indicated genotypes were left untreated or irradiated at 5 Gy. Cells were then harvested at indicated time points post irradiation, and subjected to immunoprecipitation with Mdm2 or Nbs1 antibody, followed by IB with indicated antibodies. c Reduction of Mdm2 rescues the impairment of DNA damage response induced by Rps27l inactivation in Trp53+/− MEFs. MEFs with indicated genotypes were left untreated or irradiated at 5 Gy. Cells were then harvested at indicated time points post irradiation, followed by IB with indicated antibodies. SE shorter exposure, LE longer exposure, WCE whole-cell extract