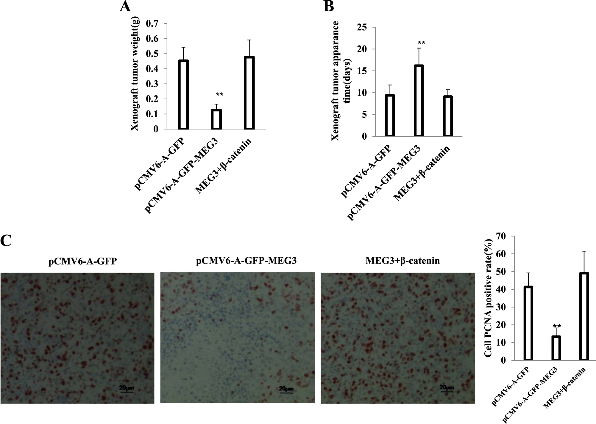
Fig. 12: β-catenin determines MEG3 suppressor function in vivo.

A Tumorigenesis test in vivo. The mice were stratified and the tumors were recovered. The wet weight of each tumor was determined for each mouse. Each value was presented as mean ± standard error of the mean (SEM). **, P < 0.01. B The appearance time of each tumor was determined for each mouse. Each value was presented as mean ± standard error of the mean (SEM). **, P < 0.01. C A portion of each tumor was fixed in 4% paraformaldehyde and embedded in paraffin for histological hematoxylin–eosin (HE) staining and PCNA staining (DAB stainning, original magnification ×100).