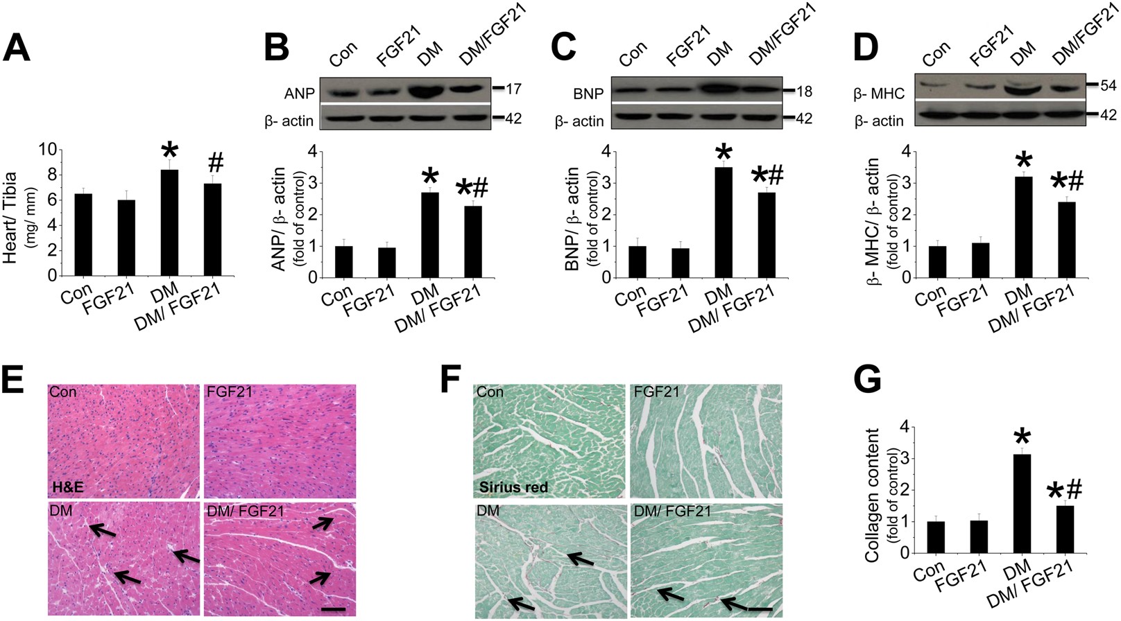
Fig. 1: Effect of FGF21 supplement on type 2 diabetes-induced cardiomyopathy.

HFD/ STZ-induced type 2 diabetic and age-matched mice received FGF21 treatment for 4 months. Then, mice were killed and the hearts were isolated. Cardiac hypertrophy was evaluated by examining the ratio of heart weight to tibia length (HW/BW, a) and the expression of hypertrophic markers including cardiac ANP (b), BNP (c), and β-MHC (d). Myocardium structure was examined by H&E staining (e). Fibrosis was evaluated by measuring collagen content by Sirius-red staining (f, g). Data are presented as means ± SD, n = 8/group. *P < 0.05 vs. the control (Con) group; #P < 0.05 vs. the diabetic (DM) group