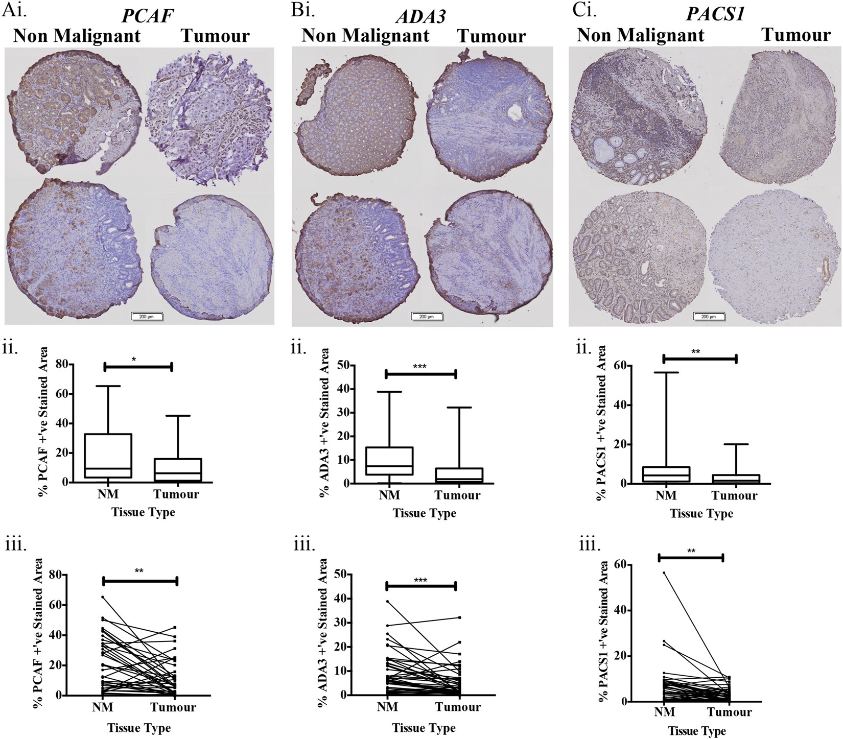
Fig. 4: PCAF, ADA3, and PACS1 protein expression is reduced in human gastric tumor tissue.
From: Down-regulation of a pro-apoptotic pathway regulated by PCAF/ADA3 in early stage gastric cancer

A tissue microarray (TMA) containing gastric tumor tissue (Tumor) and non-malignant gastric tissue (NM), was immunostained for a PCAF, b ADA3, and c PACS1. Data are presented as percentage positive stained area (%+’ve) quantitated by normalizing the relative intensity for each protein to that of the respective control IgG. The process for determining each experimental value in the plots was automated, using MetaMorph® image analysis software (MetaMorph Inc., USA). i Two representative sets of tissue samples for each of the three antigens under study (PCAF, ADA3, PACS1), comparing non-malignant and malignant tumor tissue. ii Whisker plots comparing pooled data across the entire cohort for non-malignant (NM) versus malignant tissue sections. iii Pairwise analysis for TMA %+’ve stained area for gastric tumor tissue to patient matched non-malignant gastric tissue. Error bars are S.E.M., statistical analysis performed: t-test, *p < 0.05, **p < 0.01 and ***p < 0.001