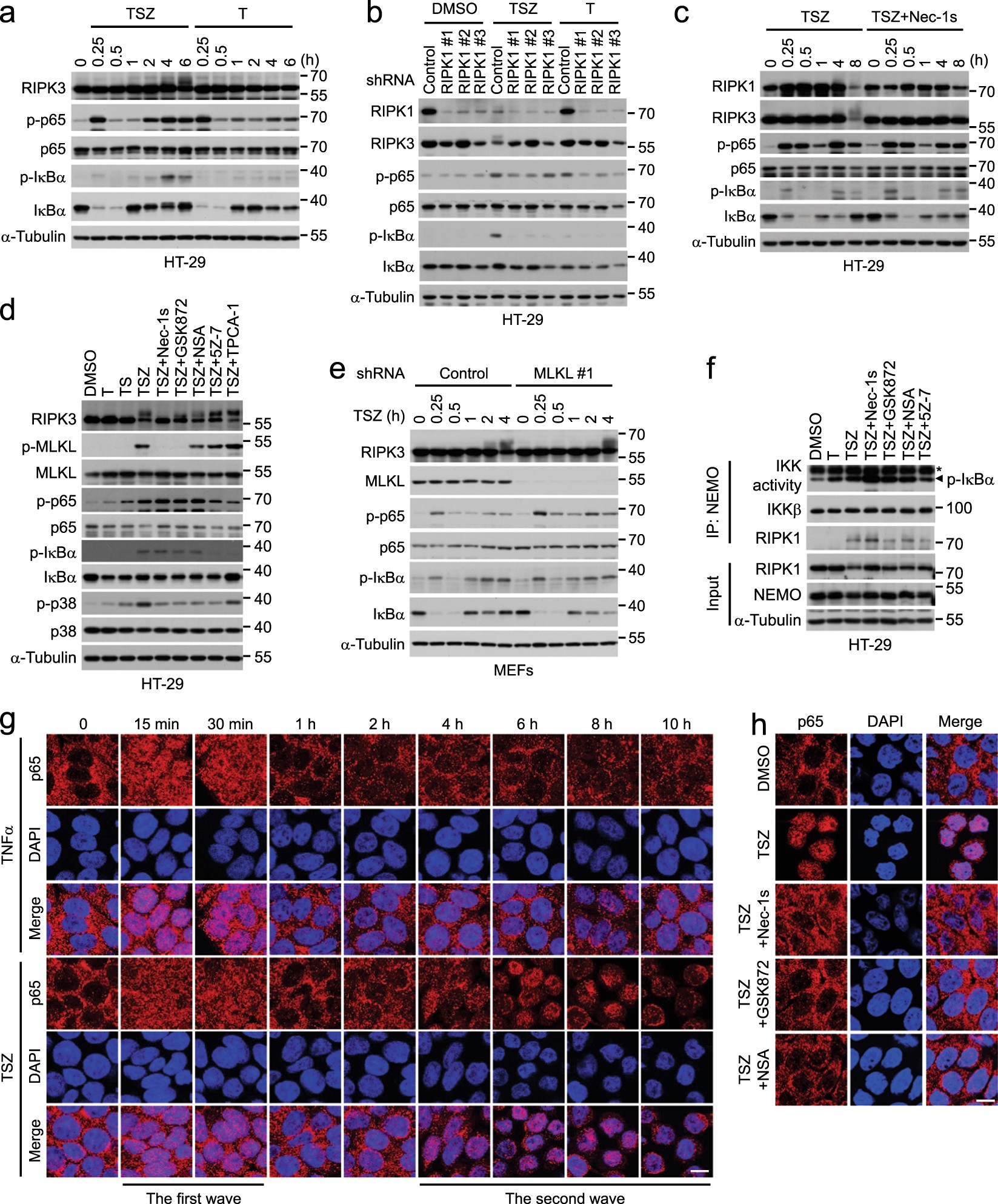
Fig. 5: The RIP1–RIP3–MLKL axis is required for promoting p65 nuclear entry in necroptosis.
From: Necroptosis promotes cell-autonomous activation of proinflammatory cytokine gene expression

a Western blotting analysis of lysates from HT-29 cells treated with TSZ or T for the indicated periods of time. b HT-29 cells stably expressing the indicated shRNAs were treated with DMSO, TSZ, or T for 8 h. The cell lysates were collected for western blotting analysis. c Western blotting analysis of lysates from HT-29 cells treated as indicated. d Western blotting analysis of lysates from HT-29 cells treated as indicated for 8 h. e MEFs stably expressing control or MLKL shRNA were treated as indicated. Western blotting was performed with indicated antibodies. f HT-29 cells were treated as indicated for 8 h. The IKK complex was immunoprecipitated with an anti-NEMO antibody and subjected to an in vitro kinase assay by probing the phosphorylated GST-IκBα. The immunoprecipitates and cell lysates were western blotted with indicated antibodies. Asterisk indicates the bands of IgG. g Immunostaining of p65 in HT-29 cells treated with TSZ for the indicated time periods. h Immunostaining of p65 in HT-29 cells treated as indicated for 8 h. Scale bars, 10 μm