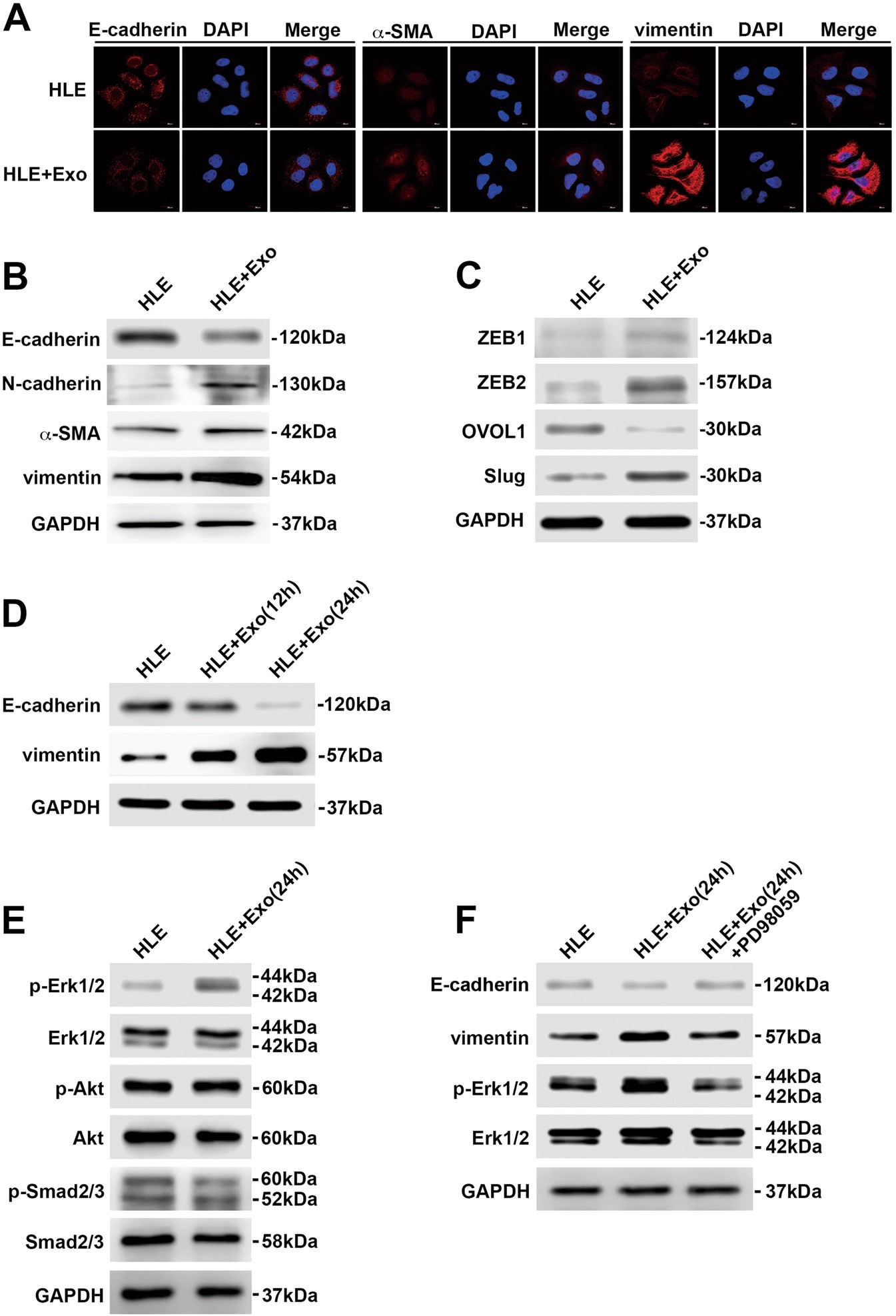
Fig. 2: Incubation of HLE cells with MHCC97H-derived exosomes promotes EMT through the MAPK/ERK pathway.

a Immunofluorescence microscopy of EMT markers in HLE cells treated with or without MHCC97H-derived exosomes for 24 h. b Western blot analysis of EMT markers in HLE cells treated with or without MHCC97H-derived exosomes for 24 h. c Western blot analysis of EMT promoters (ZEB1, ZEB2 and Slug) and MET promoter OVOL1 in HLE cells treated with or without MHCC97H-derived exosomes for 24 h. d Western blot analysis of EMT markers of HLE cells with exposure to MHCC97H-derived exosomes for different durations. e Western blot analysis of phosphorylated and total Erk1/2, Akt and Smad2/3 in HLE cells treated with or without MHCC97H-derived exosomes for 24 h. f Western blot analysis of EMT markers and phosphorylated and total Erk1/2 in HLE cells, exosome-treated HLE cells and exosome-treated HLE cells when cultured with the ERK inhibitor PD98059. Abbreviation: Exo exosome. All experiments were repeated at least three times