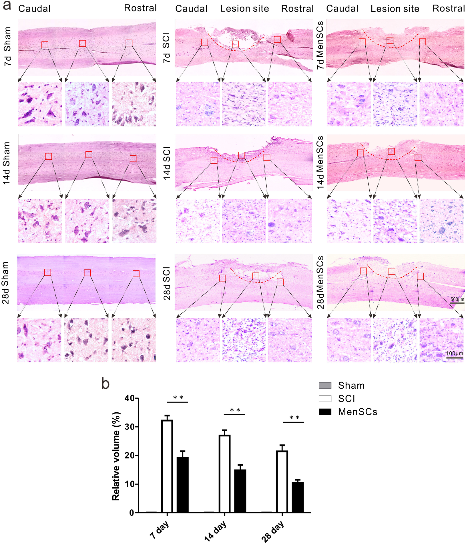
Fig. 3: MenSCs enhanced the recovery of the injured cord.

a H&E staining was adopted for histological analysis. The left column is the sham group, the middle column is the SCI group, and the right column shows the MenSCs group. The recovery process shows in time course at 7, 14, and 28 days after surgery in the vertical direction. The upper panel displays the low magnification of horizontal spinal cord sections; the lower panel indicates the higher magnification of the rostral, lesion, and caudal site of the injured spinal cord. The dashed lines indicate host/lesion interfaces. b This graph shows relative cavity formation in the sagittal section of spinal cord among the three groups. The relative cavity sizes were calculated by dividing the cavity volume by the spinal cord volume at the lesion site. There were significant differences between SCI and MenSCs groups. **P < 0.01. Two-way ANOVA repeated measurement followed by Bonferroni’ post hoc test