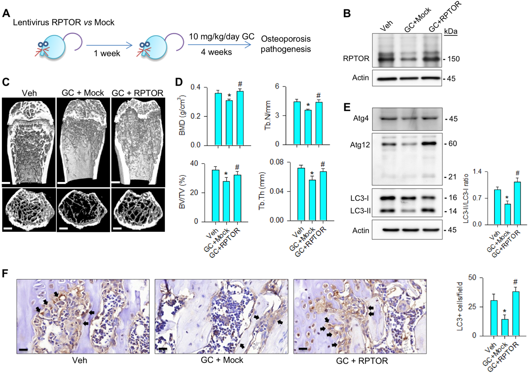
Fig. 5: Forced RPTOR expression attenuated the glucocorticoid-induced bone loss.

a Schematic drawing for lentivirus RPTOR treatment for glucocorticoid-treated mice. b RPTOR treatment reduced the methylprednisolone-induced loss of RPTOR levels. c μCT images of proximal tibiae showed sparse trabecular bone structure upon glucocorticoid treatment, whereas abundant bone microstructure remained in the RPTOR-treated group. Scale bar, 5 mm. d Increasing RPTOR expression alleviated the methylprednisolone-induced loss of BMD, BV/TV, Tb.N, and Tb.Th. e This treatment also retained Atg4, Atg12, LC3-II levels, and LC3-II/LC3-I ratio. f LC3 immunostaining (arrows) in osteoblasts along trabecular bone was decreased upon glucocorticoid treatment, whereas forced RPTOR expression improved LC3 immunoreactivity. Scale bar, 10 μm. Experiments were performed on six mice, and results are expressed as mean ± standard error. Asterisks (*) resemble a significant difference (P < 0.05) vs. vehicle-treated group, and hashtag (#) indicates a distinguishable difference (P < 0.05) between the methylprednisolone-treated group vs. RPTOR group. Veh, vehicle; GC, glucocorticoid