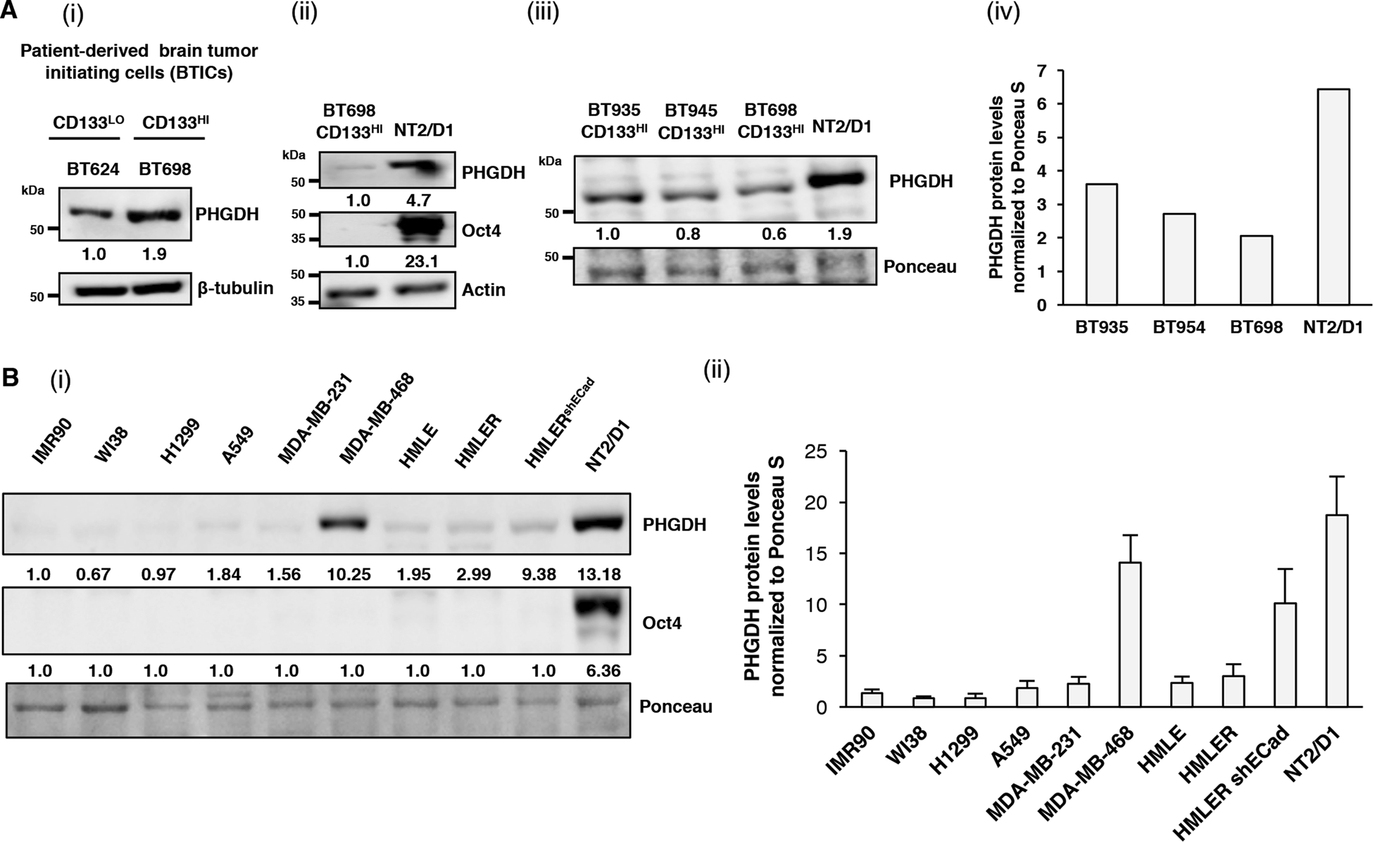
Fig. 1: NT2/D1 ECSLCs co-express high levels of PHGDH and Oct4.

a (i) CD133Low BT624 and CD133High BT698 BTICs were subjected to western blot (WB) analysis for PHGDH.(ii) CD133High BT698 BTICs and NT2/D1 cells were subjected to WB analysis for PHGDH and Oct4. (iii) Levels of PHGDH were compared between BTICs derived from three individual patients (BT935, BT954, and BT698) and NT2/D1 ECSLCs by WB analysis. (iv) Quantification of PHGDH protein levels normalized to Ponceau stain. b (i) IMR90, WI38, H1299, A549, MDA-MB-231, MDA-MB-468, HMLE, HMLE-Ras (HMLER), HMLER shE-Cadherin (HMLERshECad), and NT2/D1 cells were subjected to WB analysis for PHGDH and Oct4.(ii) Quantification of PHGDH protein levels normalized to Ponceau S.