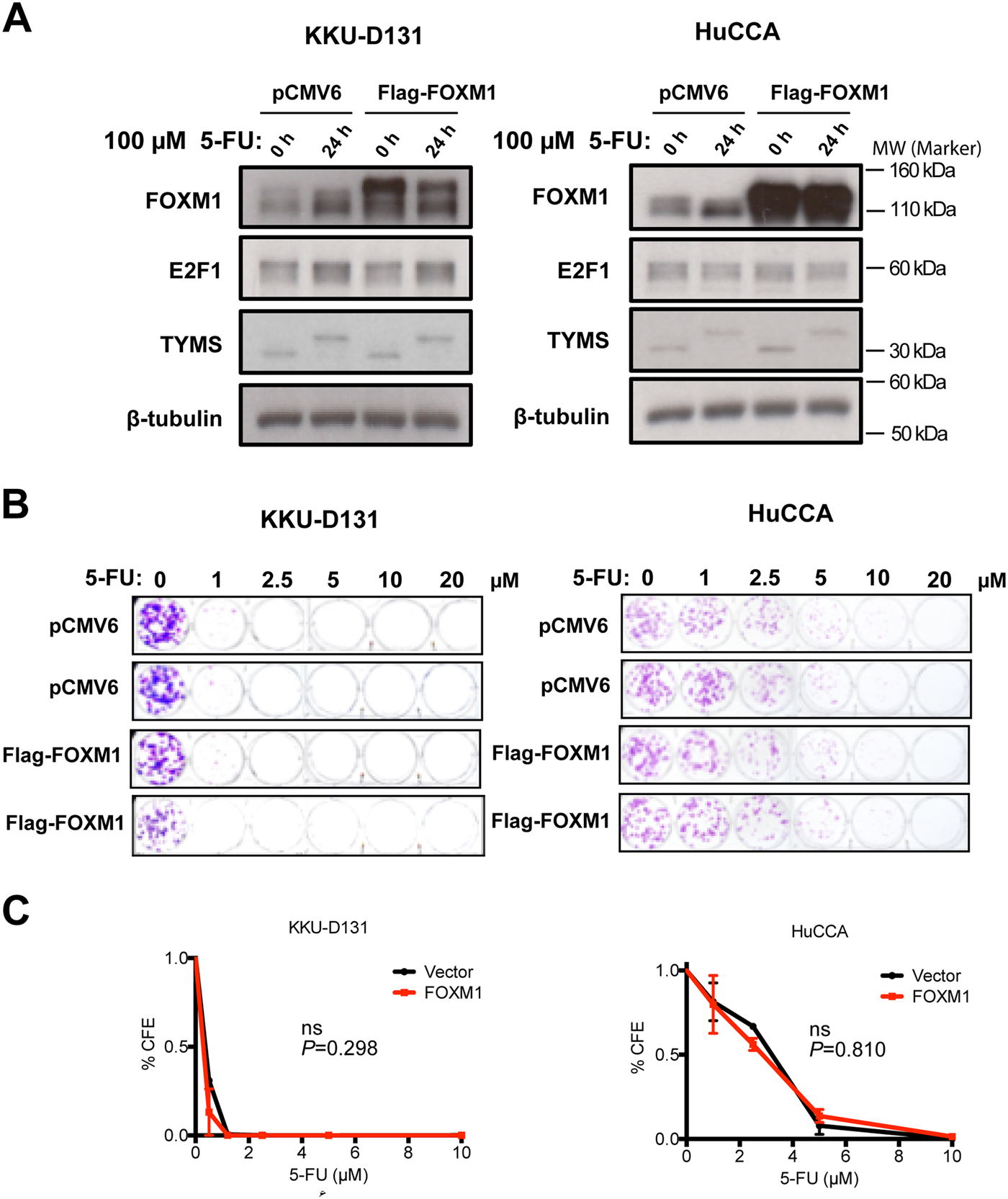
Fig. 5: Effects of ectopic expression of FOXM1 in KKU-D131 and HuCCA cells in response to 5-FU treatment.

FOXM1 expression in KKU-D131 cells was induced by transfection with FOXM1-pcDNA3.1 plasmid DNA. Plasmid DNA from parental vector was used as transfection controls. After 24 h, CCA cells were reseeded and grown overnight. a After treatment with 100 μM 5-FU for 24 h, cells were harvested and the expression levels of FOXM1, E2F1 and TYMS was determined by western blot analysis using β-tubulin as loading control. b Effects of FOXM1 overexpression on 5-FU toxicity was also investigated using a clonogenic assay. Representative clonogenic assay images show the effects of FOXM1 overexpression upon 5-FU treatment. c Data are presented as mean ± SEM (n = 3) and were analysed by two-way ANOVA. No significant difference is indicated by ‘ns’