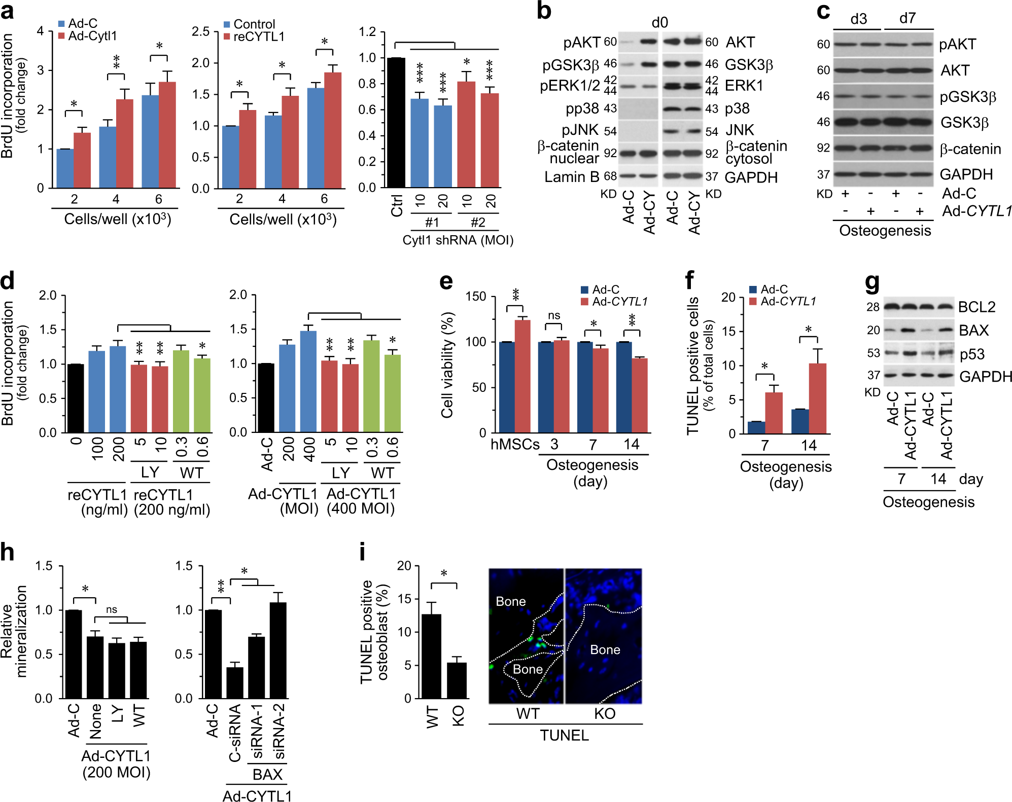
Fig. 5: Overexpression of CYTL1 promotes the proliferation of undifferentiated hMSCs and induces apoptosis of osteogenically differentiating hMSCs.

a hMSCs were infected with 400 MOI of Ad-C or Ad-CYTL1, treated with 200 ng/ml of recombinant CYTL1 (reCYTL1), or infected with 10 or 20 MOI of lentivirus-based control or CYTL1 shRNAs. hMSC proliferation was determined by BrdU incorporation assay (adenovirus; n = 8, shRNA; n = 4). b, c hMSCs were infected with 400 MOI of Ad-C or Ad-CYTL1 and cultured for 0 (b), 3, and 7 days under osteogenic differentiation-inducing conditions (c). The indicated proteins were detected by western blotting. d hMSCs were treated with reCYTL1 (left) or infected with 400 MOI of Ad-C or Ad-CYTL1 (right) in the absence or presence of the AKT inhibitors, LY294002 (5, 10 μM) or Wortmannin (0.3, 0.6 μM). Proliferation of hMSCs was determined by BrdU incorporation assay (n = 8). e–h hMSCs were maintained under non-differentiating or osteogenic-differentiation-inducing conditions for the indicated number of days. Cell viability was determined by the MTS assay (e, n = 7). Apoptotic cells were quantified by TUNEL staining (f, n = 5). Western blotting was performed to detect BCL2, BAX, and p53; representative images are shown (g, n = 5). h Quantitation of Alizarin red S staining in hMSCs infected with 200 MOI of Ad-C or Ad-CYTL1 in the absence or presence of the AKT inhibitors, LY294002 (10 μM) or Wortmannin (0.6 μM) (left, n = 14) and cells transfected with 10 nM of control siRNA or two different BAX siRNA (right, n = 4). i Representative TUNEL staining image and counting of apoptotic osteoblasts from KO mice and WT littermates (n = 10 mice per group). Data represent the means ± SEM of the indicated number of independent experiments; *p < 0.05, **p < 0.005, and ***p < 0.0005, as determined by two-tailed t-test; ns not significant