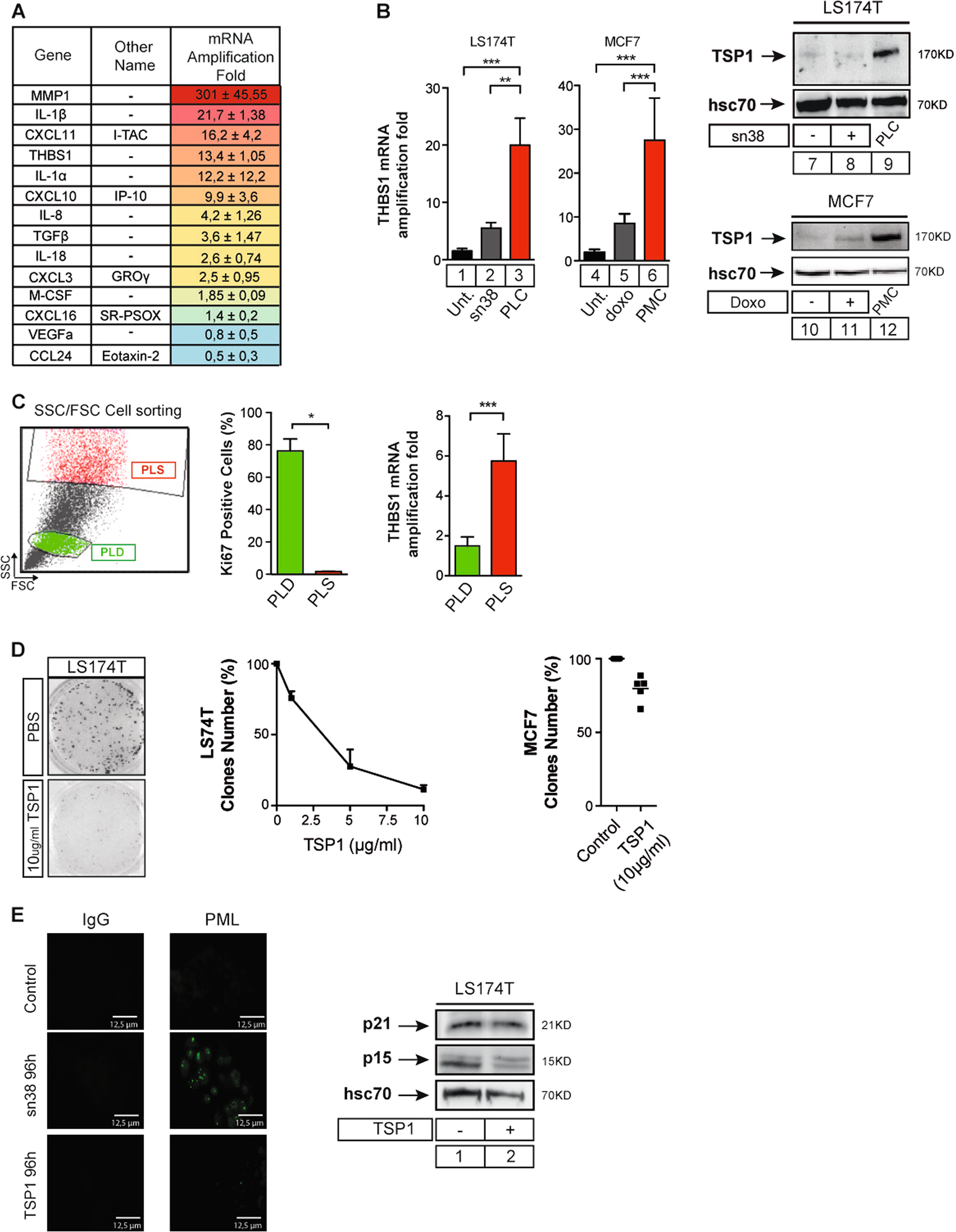
Fig. 3: Thrombospondin-1 is overexpressed in senescent cells and blocks cell proliferation.
From: Regulation of senescence escape by TSP1 and CD47 following chemotherapy treatment

a Quantitative RT-PCR analysis of SASP components in emergent cells (n = 3). Emergent cells were generated as described above and mRNA expression was analyzed as compared with parental cells. b Analysis of TSP1 expression, by RT-QPCR or by western blot in LS174T and MCF7 cells treated or not and after emergence. The presence of TSP1 in the secretome of emergent cells was assessed by western blot assay following serum starvation for 24 h. Intracellular hsc70 expression was evaluated in parallel on the corresponding adherent cells (n = 4, Mann–Whitney test, ** = p < 0.01, *** = p < 0.001). c Cell sorting of dividing PLD and senescent PLS clones according to FSC/SSC and Ki67 parameters (n = 4 +/− sd). The image illustrates the gates that have been used during cell sorting. THBS1 mRNA expression was analyzed by quantitative RT-PCR (n = 5 +/− sd, Mann–Whitney test, * = p < 0.05). d Analysis of LS174T (n = 3 +/− sd) and MCF7 (n = 5) proliferation and survival using clonogenic tests. Cells have been treated with the indicated concentrations of TSP1 or PBS for 7 days. e Following TSP1 stimulation of LS174T cells (10 µg/ml), PML staining and p21 and p15 expressions were evaluated by immunofluorescence and western blot (n = 3)