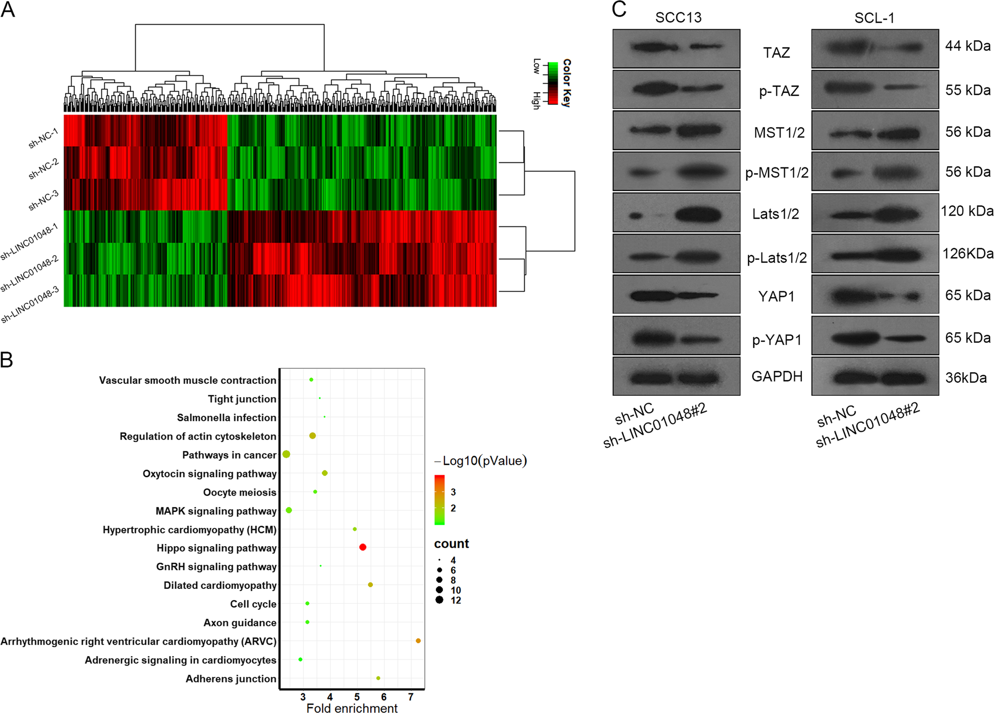
Fig. 5: LINC01048 regulated the activity of Hippo pathway in CSCC cells.

a 500 mRNAs were selected out due to their highest fold change in response to LINC01048 knockdown. b 500 mRNAs were subjected to KEGG pathway analysis. c The levels of Hippo pathway proteins were tested with western blotting in cells transfected with sh-LINC01048#2 or sh-NC