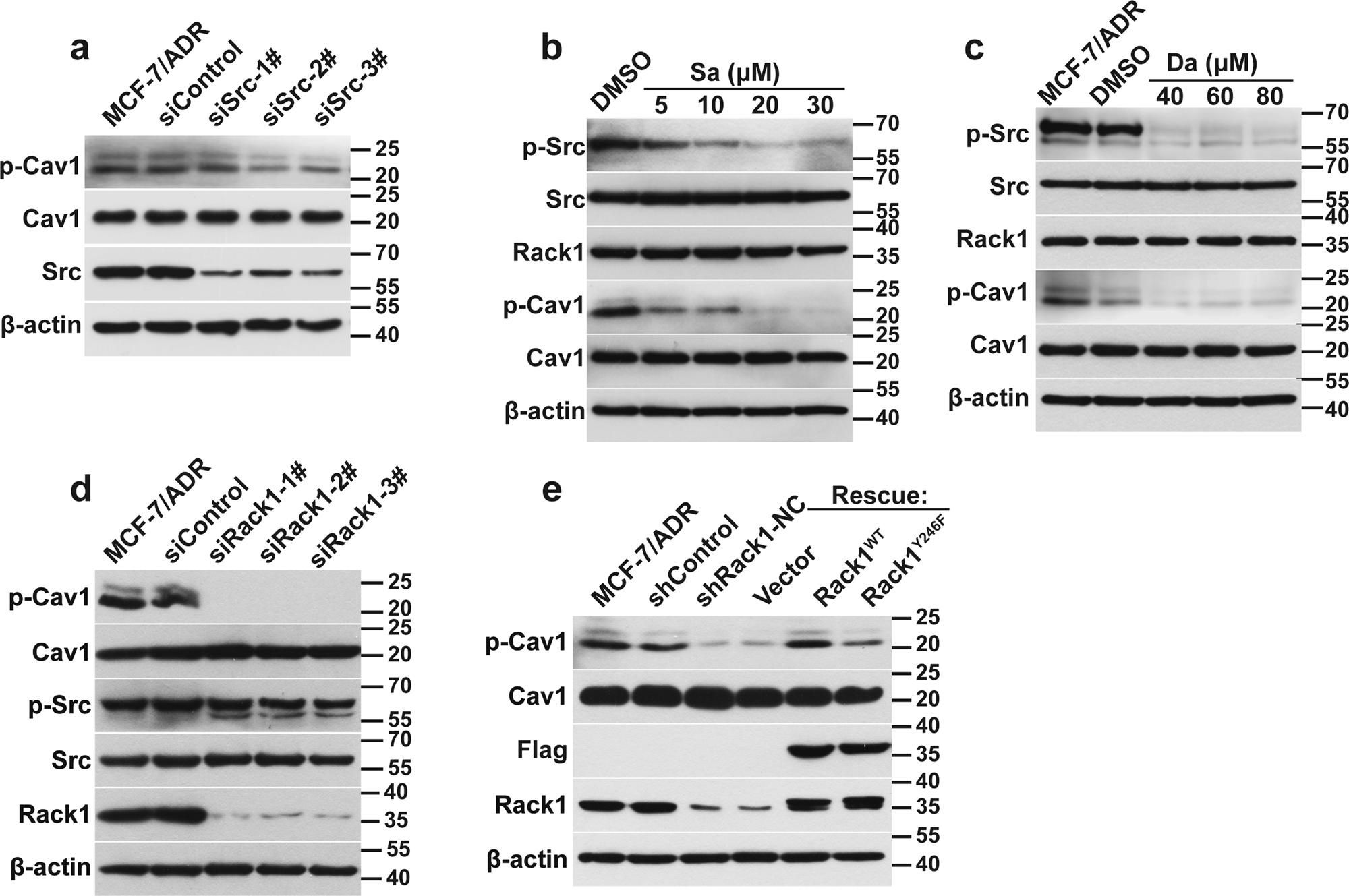
Fig. 5: Cav1 is phosphorylated by Src in Rack1-dependent manner.

a Src knockdown inhibited Cav1 tyrosine phosphorylation in MCF-7/ADR cells. Western blotting analysis of the expression level of Src, and total and phosphorylated Cav1 in cell lysates from drug-resistant cells transfected with negative control or three Src-specific siRNAs; β-actin was used as a loading control. b The blockage of Src activity with Saracatinib apparently inhibited Cav1 phosphorylation. Western blotting analysis of the expression level of Rack1, total and phosphorylated Src, and total and phosphorylated Cav1 in cell lysates from drug-resistant cells pretreated with Saracatinib for 24 h. c The blockage of Src activity with Dasatinib apparently inhibited Cav1 phosphorylation. Western blotting analysis of the expression level of Rack1, total and phosphorylated Src, and total and phosphorylated Cav1 in cell lysates from drug-resistant cells pretreated with Dasatinib for 24 h. d Rack1 knockdown inhibited Cav1 phosphorylation in MCF-7/ADR cells. Western blotting analysis of the expression level of Rack1, total and phosphorylated Src, and total and phosphorylated Cav1 in cell lysates from drug-resistant cells transfected with negative control or three Src-specific siRNAs; β-actin was used as a loading control. e The rescued expression of Rack1WT, but not Rack1Y246F mutant, recovered Cav1 phosphorylation in Rack1-silenced cells. The Rack1 stable silenced cells were infected with lentivirus expressing Flag-tagged Rack1WT or Rack1Y246F mutant. Then wild-type, control, and Rack1WT- and Rack1Y246F-rescued cells were lysed and immunoblotted with anti-Flag, Rack1, Cav1, and phosphorylated Cav1 antibodies