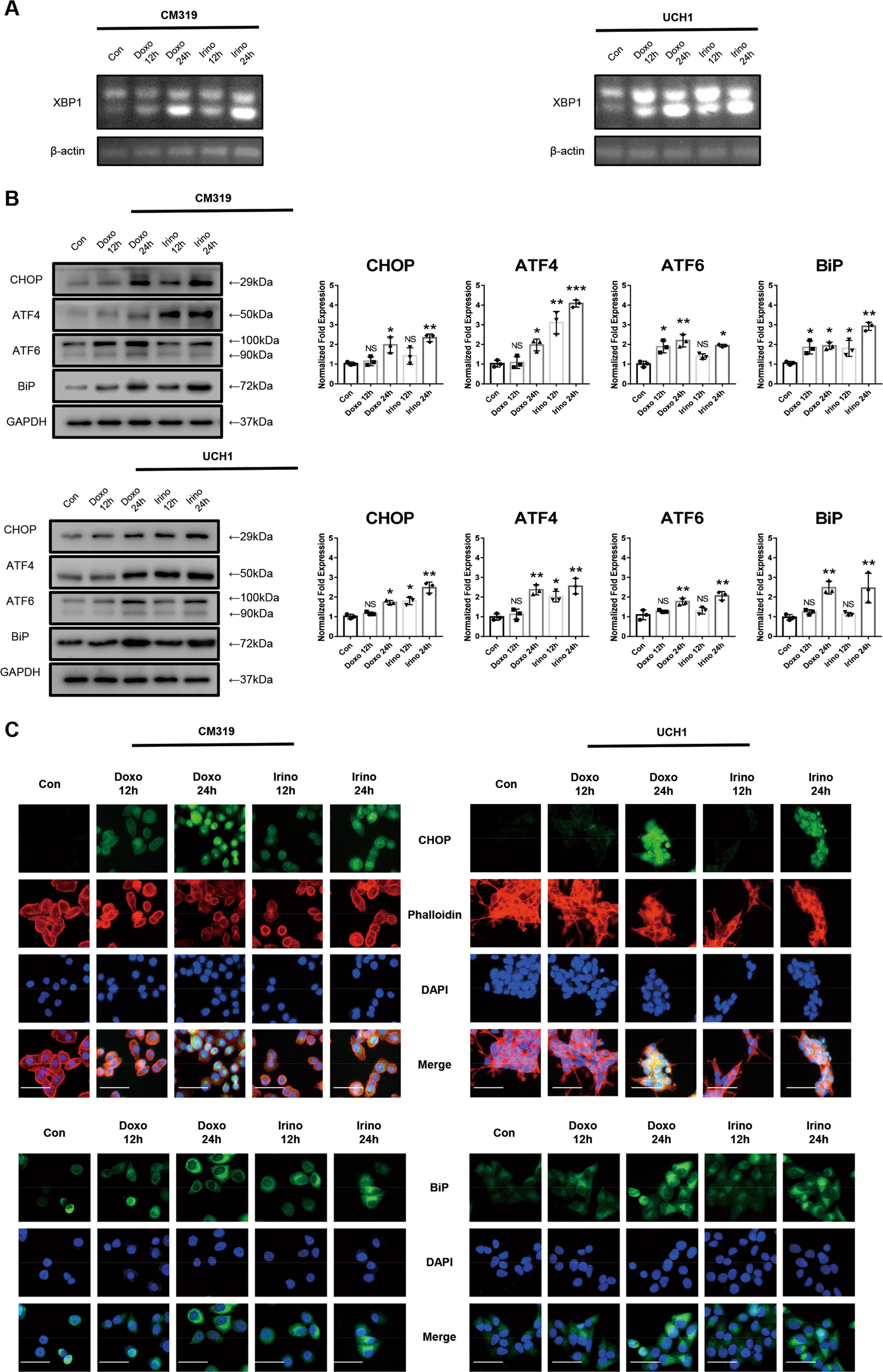
Fig. 2: Doxorubicin or irinotecan induced unfolded protein response in chordoma cells in vitro.

Chordoma cell lines CM319 and UCH1 were being treated with doxorubicin (0.5 μM) or irinotecan (50 μM) for 12 h or 24 h in vitro. a Splicing of XBP1 mRNA were evaluated by RT-PCR. b Western blotting analysis and quantification of CHOP, ATF4, ATF6, and BiP protein expression (normalized to GAPDH expression). c Representative images of immunofluorescence staining of CHOP and BiP of CM319 and UCH1 cell line (n = 3, *p < 0.05 vs. control group, **p < 0.01 vs. control group, NS: not statistically significant vs. control group, Con: control group, Doxo: doxorubicin-treated group, Irino: irinotecan-treated group. Scale bar = 50 μm. For all the above-mentioned statistical analyses, significance was determined by one-way ANOVA followed by Dunnett’s multiple comparisons test and the results were shown as mean ± SD).