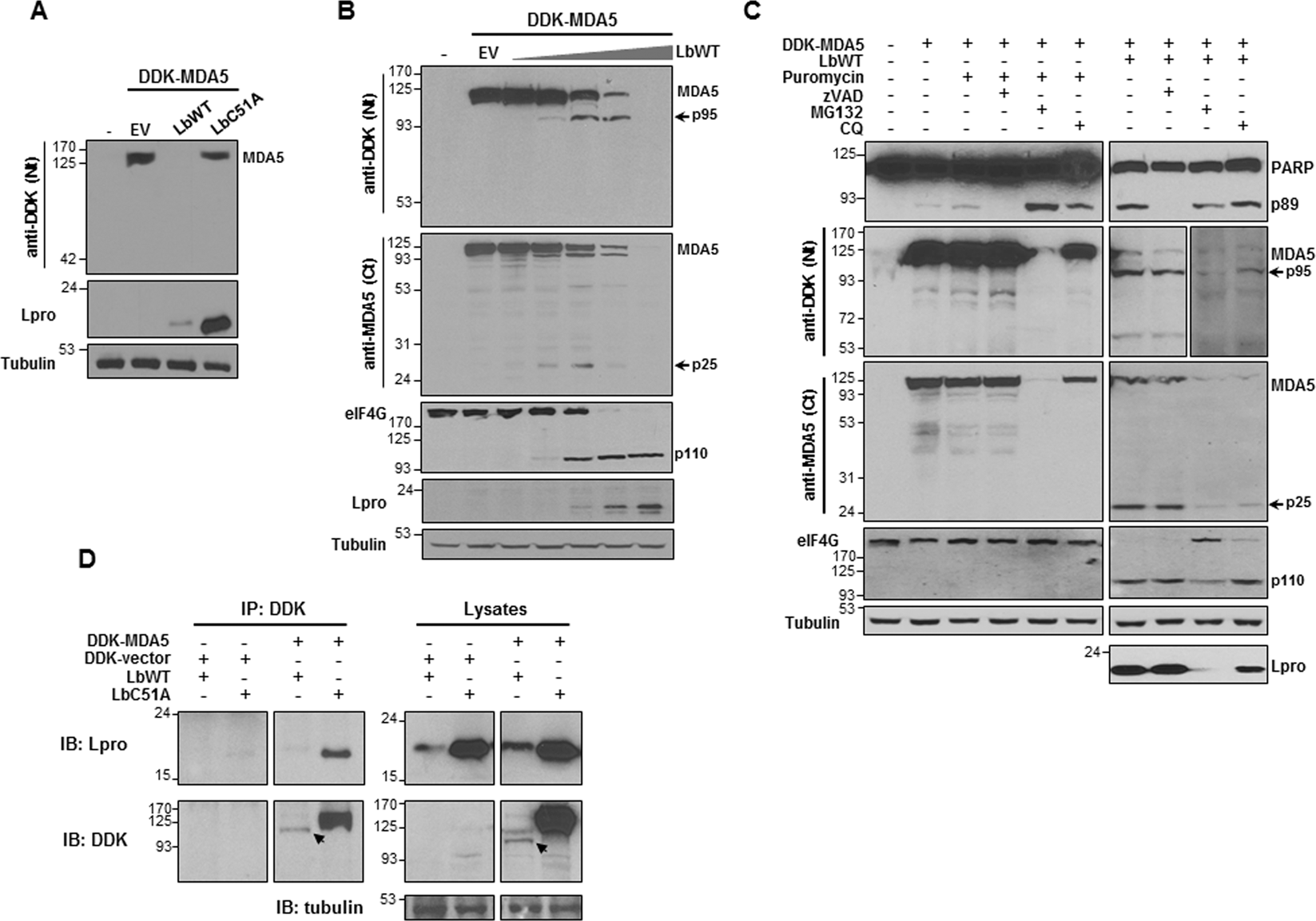
Fig. 5: MDA5 is specifically cleaved by FMDV Lpro.

HEK293 cells were mock-transfected or co-transfected with 2 µg of a plasmid encoding DDK-MDA5 or a DDK-vector and 1 µg of plasmids encoding LbWT, LbC51A or EV (a, c and d), or increasing amounts of LbWT plasmid (0.2, 2, 20, 200 and 2000 ng) or 2 µg of an EV (b). c HEK293 cells were co-transfected in the presence of zVAD (20 µM), MG132 (10 µM) or chloroquine (CQ) (50 µM). In control cells apoptosis was induced with puromycin (20 µM). Cells were lysed 24 h later and analyzed by immunoblot for detection of the indicated proteins using the specified antibodies. A longer exposure is shown for lysates from cells co-transfected in the presence of MG132 and CQ. Arrows indicate the N- and C-terminal cleavage products of MDA5. The 89-kDa and 110-kDa cleavage products of PARP and eIF4G respectively, are also depicted. d Lysates were collected 24 hpt and IP was performed with an anti-DDK monoclonal antibody. IP fractions and lysates were analyzed by 10%- and 8%-SDS-PAGE, respectively. The indicated proteins were analyzed by immunoblot. The N-terminal cleavage product of MDA5 is indicated with an arrow.