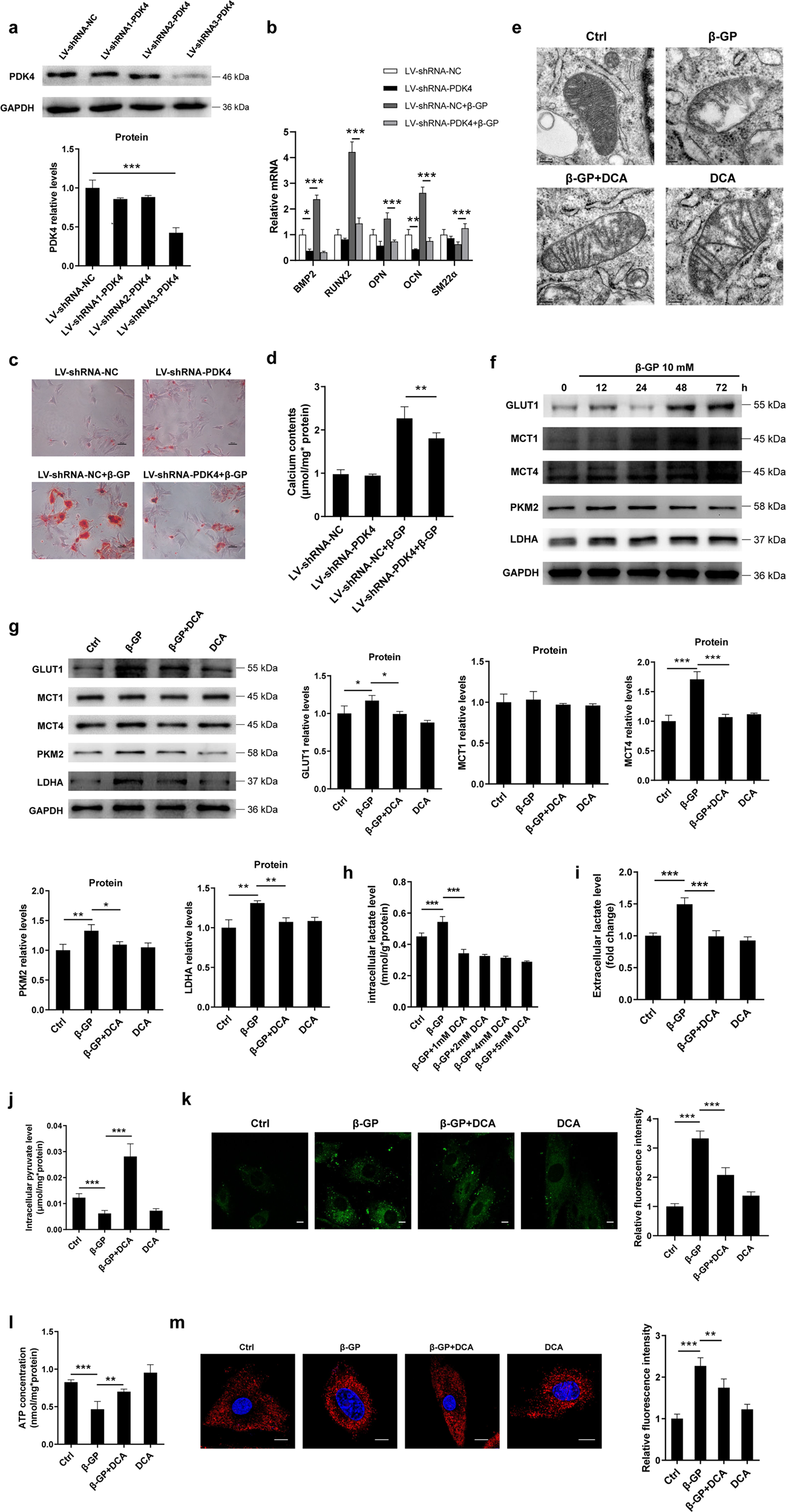
Fig. 2: PDK4 promotes the calcification and glycolysis in VSMCs.

a The transfection efficiency was determined by western blotting. N = 3 independent experiments. b VSMCs were transfected with lentivirus carrying shRNA targeting PDK4 or NC-shRNA for 48 h and then incubated in the presence or absence of β-GP. The mRNA levels of BMP2, RUNX2, OPN, OCN, and SM22α were measured by RT-qPCR. N = 3 independent experiments. c Calcium deposition was visualized by Alizarin red S staining at the light microscopic level (original magnification, ×100; Scale bars = 100 μm). N = 5 independent experiments. d The calcium content was measured by calcium assay kit. N = 5 independent experiments. e Representative TEM images (scale bar = 100 nm) of the VSMCs treated with 1 mM DCA in the presence or absence of β-GP. f–g Protein expression of GLUT1, PKM2, LDHA, MCT1 and MCT4 was measured by western blotting. N = 3 independent experiments. h–i Intracellular and extracellular lactate production was measured using a lactate assay kit. N = 5 independent experiments. j Pyruvate levels were measured. N = 5 independent experiments. k Glucose uptake was measured using a fluorescent analogue of glucose, 2-NBDG. Scale bars: 10 μm, N = 40–50 cells per group. l ATP concentration was measured using an ATP determination kit. N = 5 independent experiments. m Mitochondrial function was evaluated by confocal microscopy using the fluorescent probe MitoSOX. Scale bars: 10 μm, N = 40–50 cells per group. *P < 0.05, **P < 0.01, ***P < 0.001.