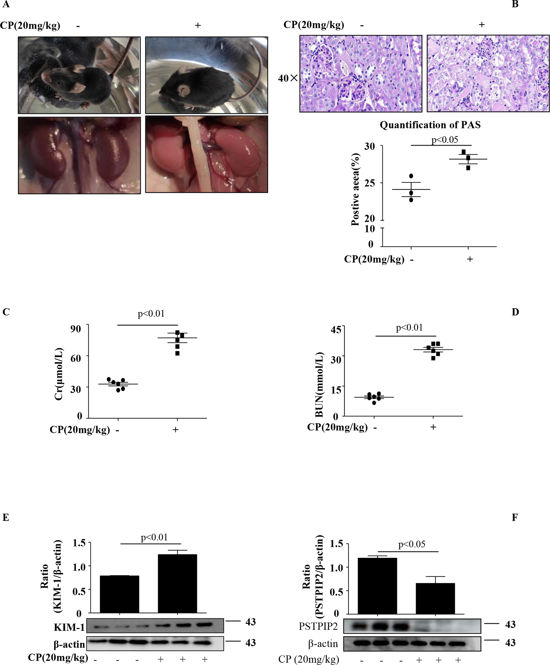
Fig. 1: PSTPIP2 was downregulated in CP-induced AKI.

a Representative macroscopic appearance of the kidney. b Kidney tissues stained with periodic acid-Schiff and quantification of renal tubular damage. c Serum creatinine (Cr) assay. d Blood urea nitrogen (BUN) assay. e Expression of KIM-1 in kidney tissue was detected by western blot. f PSTPIP2 protein levels in kidney tissue were analysed by western blot. Similar results were obtained in 3 independent experiments with 10 mice per group.