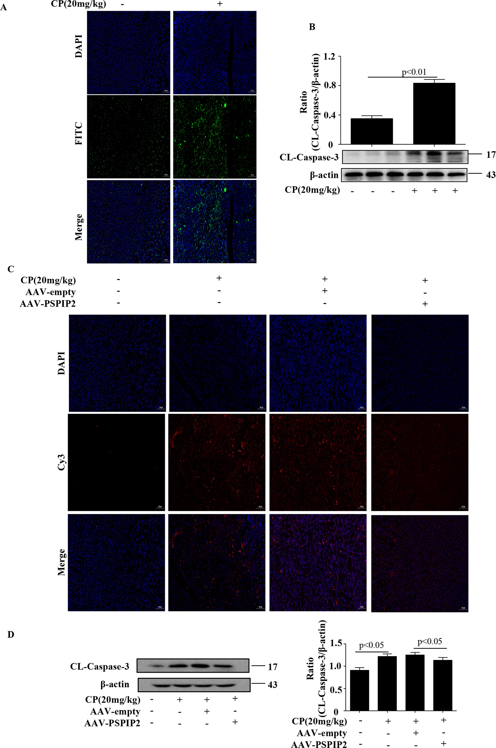
Fig. 4: PSTPIP2 suppressed CP-induced kidney apoptosis in vivo.

a Representative images of TUNEL staining in various groups. Scale bar, 100 μM; magnification, 10×. b The cleaved caspase-3 protein levels in the kidney tissue analysed by western blot. c Representative images of TUNEL staining in various groups. Scale bar, 100 μM; magnification, 10×. d The cleaved caspase-3 protein levels in various groups analysed by western blot. Similar results were obtained in 3 independent experiments with 10 mice per group.