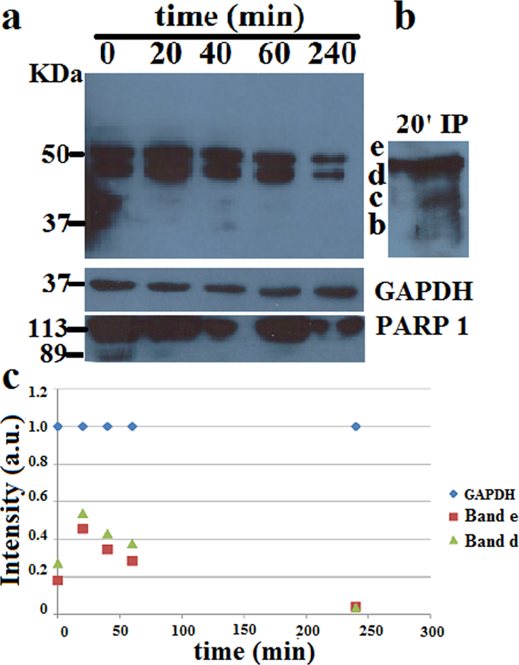
Fig. 4: Effect of 3OC12HSL on the ubiquitination of PON2 in HeLa cells.

a Western blot with anti-PON2 showing the protein behavior in HeLa cells induced with 100 μM 3OC12HSL for the indicated times. GAPDH and PARP-1 fragmentation are also reported b IP with anti-Ubiquitin and detection with anti-PON2 of band d after 20 min incubation with 3OC12HSL c Densitometric analysis for quantization of band d. Data were reported as the average of two or three experiments or single data points as shown.