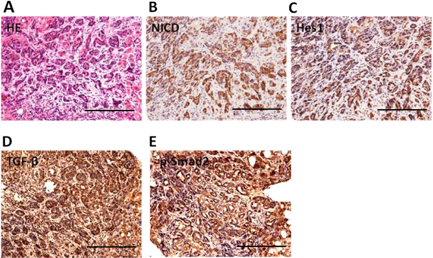
Fig. 5: IHC showed that TGF-β and Notch signalings were activated in the ICC components of human cHCC-ICC.
From: Oncogenic driver genes and tumor microenvironment determine the type of liver cancer

ICC: intrahepatic cholangiocarcinoma; cHCC-ICC: combined hepatocellular carcinoma and intrahepatic cholangiocarcinoma; IHC: immunohistochemical staining (scale bars, 50 μm).