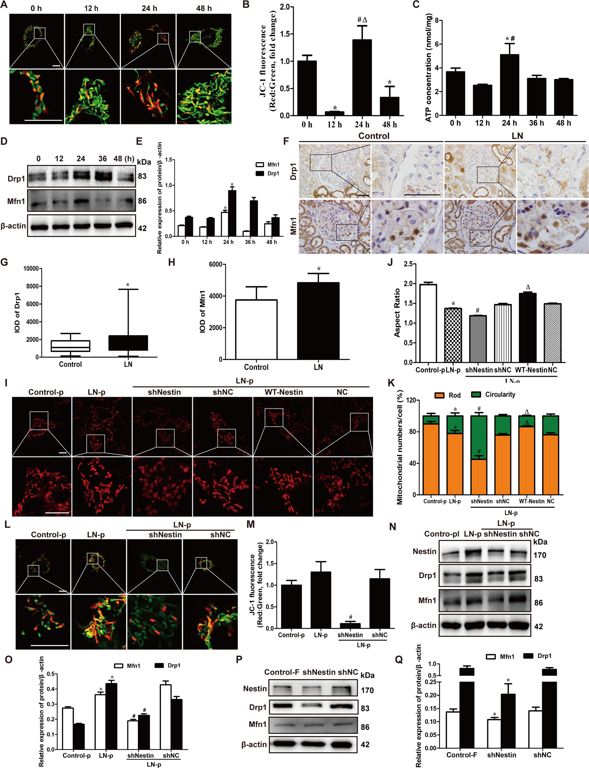
Fig. 5: Nestin induced the imbalance of mitochondrial division and fusion, leading to mitochondrial dysfunction.
From: Nestin protects podocyte from injury in lupus nephritis by mitophagy and oxidative stress

a JC-1 staining was used to detect mitochondrial membrane potential of MPCs exposed to LN plasma. Scale bars: 10 μm. b Quantification of JC-1 fluorescence (red:green ratio) showing changes in fluorescence intensity in MPCs exposed to LN plasma in different time. JC-1 fluorescence was normalized with the red-to-green ratio of 0 h group. *P < 0.05 vs. 0 h group, #P < 0.05 vs. 12 h group, △P < 0.05 vs. 48 h group (n = 20). c ATP assay showed the ATP content in MPCs exposed to LN plasma. *P < 0.05 vs. 12 h group, #P < 0.05 vs. 48 h group (n = 3). d, e Western blot assay showed the expression of Drp1 and Mfn1 in the MPCs exposed to LN plasma. *P < 0.05 vs. 0 h group (n = 3). f–h IHC staining showed the expression of Drp1 and Mfn1 in LN patients. Scale bars: 50 μm. *P < 0.05 vs. control group. i Mito Tracker staining showed the mitochondria morphology of MPCs after nestin overexpression and downregulation and exposed to LN plasma for 24 h. Scale bars: 10 μm. j Quantification of Mito Tracker staining (aspect ratio) in MPCs in different treatment. *P < 0.05 vs. control plasma group, #P < 0.05 vs. LN plasma + shNC group, △P < 0.05 vs. LN plasma + NC group (n = 360). k Quantification of Mito Tracker staining showing the different morphology mitochondrial numbers in MPCs in different treatment. *P < 0.05 vs. control plasma group, #P < 0.05 vs. LN plasma + shNC group, △P < 0.05 vs. LN plasma + NC group (n = 20). l JC-1 staining was used to detect mitochondrial membrane potential of MPCs after downregulation of the nestin expression and exposed to LN plasma for 24 h. Scale bars: 10 μm. m Quantification of JC-1 fluorescence (red:green ratio) showing changes in fluorescence intensity in MPCs in different treatment. JC-1 fluorescence was normalized with the red-to-green ratio of the control plasma group. #P < 0.05 vs. LN plasma + shNC group (n = 20). n, o Western blot assay showed the downregulation of nestin affected the expression of Drp1 and Mfn1 in the MPCs exposed to LN plasma for 24 h. *P < 0.05 vs. control plasma group, #P < 0.05 vs. LN plasma + shNC group (n = 3). p, q Western blot assay showed the downregulation of nestin affected the expression of Drp1 and Mfn1 in the MPCs. *P < 0.05 vs. control FBS group (n = 3). Student’s t test and Mann−Whitney nonparametric tests were applied to compare variables between two groups. Bonferroni’s correction was performed to analyze statistical significance between multiple comparisons.