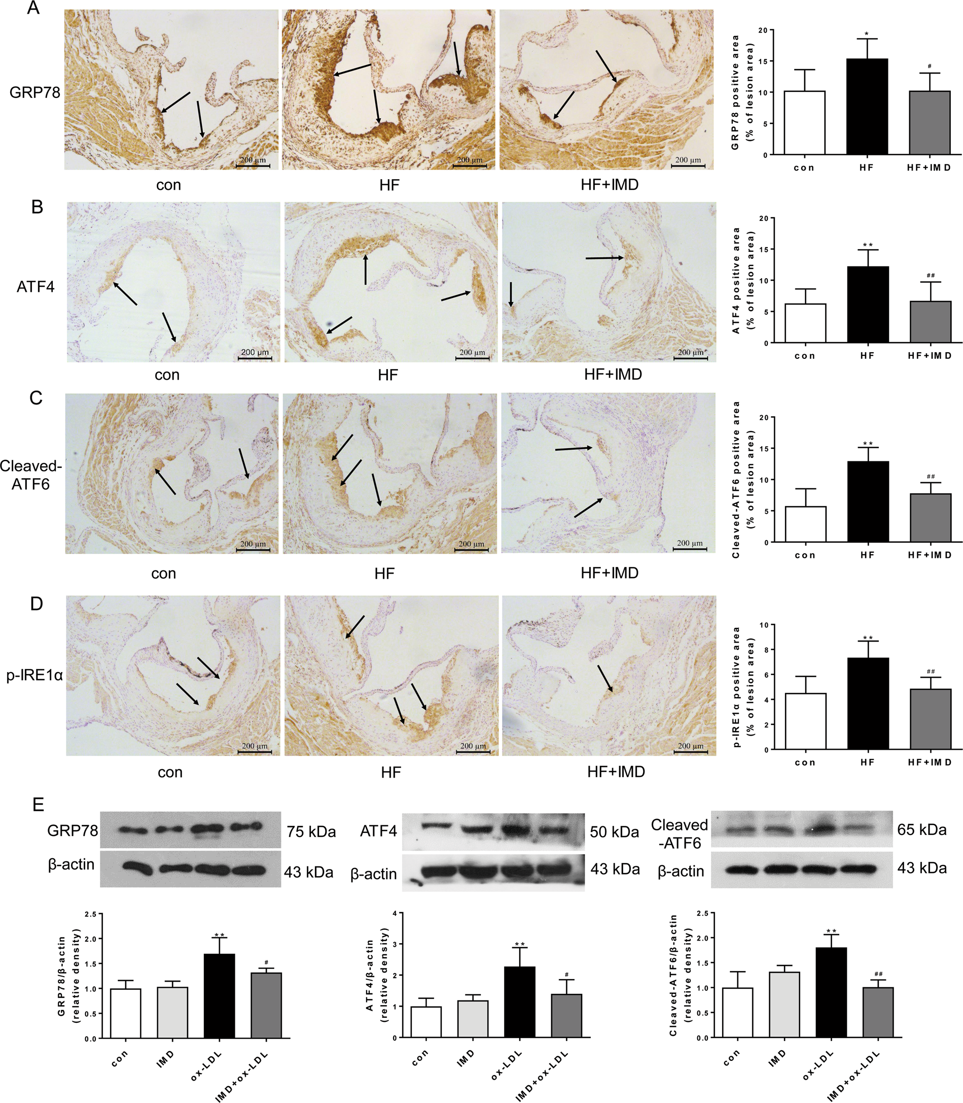
Fig. 3: IMD1-53 inhibited endoplasmic reticulum stress (ERS) in atherosclerotic lesions.

A–D Eight-week-old male ApoE−/− were fed a standard chow diet (con) or a high-fat diet (HFD) for 16 weeks. After 10 weeks of HFD feeding, ApoE–/– mice received either PBS or intermedin1-53 (IMD1-53) during the left 6 weeks of high-fat diet feeding. Representative images and quantification data of GTP78 (A), ATF4 (B), cleaved ATF6 (C), and p-IRE1α (D) immunohistochemical staining at the aortic root of mice from each group. Black arrows indicate the area stained positively for GTP78, ATF4, cleaved ATF6, or p-IRE1α. Scale bars, 200 μm. n = 6. Data are mean ± SD. *P < 0.05, **P < 0.01 compared with con, #P < 0.05, ##P < 0.01 compared with HF group; one-way ANOVA. E Western blot analysis of protein expression of GRP78, ATF6, and ATF4 in macrophages treated with PBS, IMD1-53, ox-LDL, and IMD1-53 + ox-LDL. β-actin was a control for protein loading. Results are representative of four experiments. Densitometric analysis of protein levels is shown as a ratio to β-actin. n = 4. Data are mean ± SD. **P < 0.01 compared with con, #P < 0.05, ##P < 0.01 compared with the ox-LDL group; one-way ANOVA.